滋养层细胞肿瘤包括葡萄胎、侵蚀性葡萄胎和绒毛膜癌。
葡萄胎亦称水泡状胎块(hydatidiform mole),其病因及本质尚未完全阐明。目前多数学者认为葡萄胎是一种良性滋养层细胞肿瘤,但仍有少数学者认为葡萄胎是一种病理性妊娠,可能是胚胎缺陷或胚胎早期死亡后绒毛产生继发性退变的结果。
葡萄肿的发病率有明显的地区差异,欧美国家比较少见,约为1:2000妊次,而东南亚国家的发病率约10倍于欧美国家。我国1979年全国普查发病率为290/10万。妊娠次数与葡萄胎数之比为1290:1。上海地区调查发病率为1910:1。
【病变】
肉眼观,典型的葡萄胎形状极似葡萄。由于大部或全部胎盘绒毛间质水肿而显著肿胀,形成薄壁透明囊性葡萄样物,内含清液。大小不一,直径0.5~2、3cm,它们之间有细蒂相连,形如葡萄串(图13-10)。多数病例(约70%)所有绒毛都形成葡萄状,没有胎儿或其附属物,称完全性葡萄胎(complete mole);较少数病例(约30%)部分绒毛形成葡萄状,仍有部分正常绒毛,且常伴有或不伴有胎儿或其附属物,称部分性葡萄胎(partial mole)。

图13-10 葡萄胎
子宫体积增大,子宫腔中充满肿胀成葡萄状的绒毛
镜下,葡萄胎镜检有3个特点:绒毛因间质水肿而增大,并有水泡形成;间质血管消失或稀少;滋养层细胞有不同程度的增生。在这些特点中以滋养层细胞增生最重要。增生的滋养层细胞可为合体细胞或细胞滋养层细胞,大多两者混合并存,并具有一定的异型性(图13-11)。完全性葡萄胎往往增生明显。部分性葡萄胎常为局限性、轻度增生。近年来,有不少学者企图根据滋养层细胞的增生及分化程度来分级,以预测葡萄胎患者的预后,有的作者认为根据滋养层细胞增生及分化程度可以预测恶变的机会,但也有人持否定态度。

图13-11 葡萄胎
绒毛肿大,间质水肿,血管消失,滋养层上皮增生(图右侧)
【临床病理联系】
由于胎盘绒毛肿胀,子宫明显增大,致超出正常妊娠月的子宫大小。胚胎常早期死亡,故子宫虽可大如5个月妊娠,但听不到胎心音。由于滋养层细胞显著增生,胎盘激素分泌显著增多,其中以绒毛膜促性腺激素增多意义最大,能反映肿瘤的生长状态。葡萄胎一经确诊后应立即予以清除,大多数患者经彻底清宫后即可痊愈。约15%可恶变为侵蚀性葡萄胎,3%恶变为绒毛膜癌。部分性葡萄胎的恶变率很低。
侵蚀性葡萄胎(invasive mole)也称恶性葡萄胎(malignant mole),多数继发于葡萄胎之后。侵蚀性葡萄胎与良性葡萄胎不同之处是前者水泡状绒毛侵入子宫肌层,且往往侵入肌层深层,引起组织破坏,甚至穿破肌壁引起大出血,并可转移至邻近或远处器官。此外,滋养层细胞增生及异型程度亦往往较良性葡萄胎显着。
临床表现主要为在葡萄胎排出后,血或尿妊娠试验持续不正常;阴道持续或间继不规则流血;胸片示肺内往往有转移灶;有时阴道可出现紫蓝色结节,破溃时可发生反复大出血。近年来由于化学疗法的进展,治疗侵蚀性葡萄胎有很好的疗效。
绒毛膜癌(choriocarcinoma)简称绒癌,是滋养层细胞的高度恶性肿瘤。约50%继发于葡萄胎,25%继发于自然流产,20%以上发生于正常妊娠,5%以下发生于早产或异位妊娠等。主要临床表现是在葡萄胎、流产或足月产后阴道持续不规则流血,血及尿中HCG浓度显着升高。
【病变】
肉眼观,子宫不规则增大,柔软,表面可见一个或多个紫蓝色结节。切面可见肿瘤呈暗红色、出血坏死的肿块充塞宫腔(图13-12),或为多数结节浸润子宫肌层,常达浆膜,使子宫体积显着增大,或呈弥漫息肉状布满子宫内膜面,或在内膜和肌层内有小出血灶。肿瘤的特点是呈暗红色、质脆而软的出血、坏死病灶。

图13-12 子宫绒毛膜上皮癌及阴道壁转移
原发癌位于子宫底部,呈暗红色(图中为黑色)血肿样结节,并转移到阴道壁
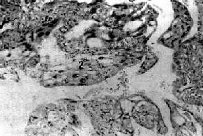
镜下,成片增生及分化不良的滋养层细胞侵入肌层和血管。瘤组织由分化不良的两种滋养层细胞组成,即细胞滋养细胞和合体滋养细胞。细胞滋养细胞胞浆丰富、淡染,细胞境界清楚,核空泡状。合体滋养细胞体积大、胞浆红染并互相融合,核椭圆形。这两种细胞排列紊乱(图13-13)。不同肿瘤中这两种细胞所占比例不同,有的以细胞滋养细胞为主,有的以合体滋养细胞为主。核分裂像常见。绒癌组织无间质,常呈广泛出血坏死,不形成绒毛结构。如发现有绒毛,即使是退化的绒毛,也应诊断为侵蚀性葡萄胎。

图13-13 绒毛膜癌
癌组织没有间质,癌巢由于两种细胞组成:1.合体细胞样细胞;2.细胞滋养层细胞样细胞
绒癌易侵入血管,故主要为血行转移,最多见转移至肺,其次为阴道、脑、肝、脾、肾、肠等。自应用化疗后,绒癌的死亡率已显著下降。