肾上腺位于肾的上方,右侧肾上腺呈扁平三角形,左侧呈半月形。成人的每侧肾上腺重4~5g。肾上腺表面包以结缔组织被膜,少量结缔组织伴随血管和神经伸入腺实质内。肾上腺实质由周边的皮质和中央的髓质两部分构成,两者在发生、结构和功能上均不相同,皮质来自中胚层,髓质来自外胚层。
皮质约占肾上腺体积的80%~90%,根据皮质细胞的形态结构和排列等特征,可将皮质分为三个带,即球状带、束状带和网状带(图11-5)。
1.球状带 球状带(zone glomerulosa)位于被膜下方,较薄,占皮质总体积的15%。细胞呈球状分布,细胞较小,呈矮柱状或锥形,核小染色深,胞质较少,内含少量脂滴。细胞团之间为窦状毛细血管和少量结缔组织(图11-5)。球状带细胞分泌皮质激素(mineralocorticoid),如醛固酮(aldosterone),它能促进肾远曲小管和集合小管重吸收Na+及排出K+,同时刺激胃粘膜、唾液腺和汗腺吸收Na+,使血Na+浓度升高,K+浓度降低,维持血容量。盐皮质激素的产生受肾素-血管紧张素系统的影响,肾球旁细胞分泌的肾素(renin)可使血浆中的血管紧张素原(angiotensinogen),变成血管紧张素(angiotensin),后者可刺激球状带细胞分泌盐皮质激素。
2.束状带 束状带(zona fasciculata)是皮质中最厚的部分,占皮质总体积的78%。在人和大多数动物,束状带细胞比皮质其它两带的细胞大,细胞呈多边形,排列成单行或双行细胞索,索间为窦状毛细血管和少量结缔组织。细胞的胞核圆形,较大,着色浅。胞质内含有大量的脂滴,在常规切片标本中,因脂滴被溶解,故染色浅而呈空泡状(图11-5)。束状带细胞分泌糖皮质激素(glucocorticoid),主要为皮质醇(cortisol)和皮质酮(corticosterone),可促使蛋白质及脂肪分解并转变成糖(糖异生),还有降低免疫应答及抗炎症等作用。束状带细胞受腺垂体细胞分泌的促肾上腺皮质激素(ACTH)的调控。
3.网状带 网状带(zona reticularis)位于皮质的最内层,占皮质总体积的7%,细胞索相互吻合成网,网间为窦状毛细血管和少量结缔组织。网状带细胞较束状带细胞小,胞核也小,着色较深,胞质内含较多脂褐素和少量脂滴,因而染色较束状带深(图11-5)。网状带细胞主要分泌雄激素,也分泌少量糖皮质激素,故也受促肾上腺皮质激素的调节。另外,网状带和束状带可能还分泌少量雌激素。

图11-5 肾上腺
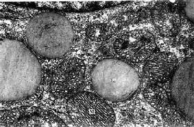
肾上腺皮质细胞分泌的激素均属类固醇,都具有分泌类固醇激素细胞的超微结构特点。如肾上腺皮质细胞。特别是束状带细胞胞质内含有丰富的滑面内质网和脂滴,线粒体嵴多呈小管状或小泡状(图11-6)。

图11-6 猴肾上腺皮质束状带细胞电镜像 ×14600
L脂滴,M线粒体
(白求恩医科大学尹昕、朱秀雄教授供图)
髓质主要由排列成索或团的髓质细胞组成,其间为窦状毛细血管和少量结缔组织。髓质细胞呈多边形,如用含铬盐的固定液固定标本,胞质内呈现出黄褐色的嗜铬颗粒,因而髓质细胞又称为嗜铬细胞(chromaffin cell)。另外,髓质内还有少量交感神经节细胞,胞体较大,散在分布于髓质内(图11-5)。
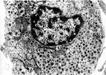
电镜下,髓质细胞最显着的特征是,胞质内含有许多电子密度高的膜被分泌颗粒,直径150~350nm 。根据颗粒内含物质的差别,髓质细胞分为两种。一种为肾上腺素细胞,颗粒内含肾上腺素(adrenaline),此种细胞数量多,约占人肾上腺髓质细胞的80%以上(图11-7)。另一种为去甲肾上腺素细胞,颗粒内含去甲肾上腺素(noradrenaline)。肾上腺素和去甲肾上腺素为儿茶酚胺类物质。此外,两种细胞的颗粒内尚含ATP及嗜铬颗粒蛋白,它们与肾上腺素或去甲肾上腺素组成复合物贮存在颗粒内。髓质细胞可与交感神经节前纤维形成突触,节前纤维末梢释放之酰胆碱作用髓质细胞,引起髓质细胞分泌颗粒释放肾上腺素或去甲肾上腺素入血。肾上腺素使心率加快、心脏和骨骼肌的血管扩张;去甲肾上腺素使血压增高,心脏、脑和骨骼肌内的血流加速。

图11-7 大鼠肾上腺髓质肾上腺素细胞×10000
(白求恩医科大学尹昕、朱秀雄教授供图)
肾上腺动脉进入被膜后,分支形成动脉性血管丛,其中大部分分支进入皮质,形成窦状毛细血管网,并与髓质毛细血管通连。少数小动脉分支穿过皮质直接进入髓质,形成窦状毛细血管。髓质内的小静脉汇合成一条中央静脉,经肾上腺静脉出肾上腺(图11-8)。因而肾上腺的大部分血液是经过皮质到达髓质的,血液中含有皮质激素,其中的糖皮质激素可增强肾上腺素细胞内N-甲基移酶的活性,使去甲肾上腺素甲基化为肾上腺素。由此可见,肾上腺皮质对髓质细胞的激素生成有很大的影响。

图11-8 肾上腺的血管分布