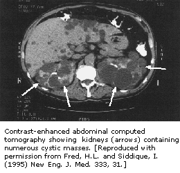
成人多囊肾脏疾病(APKD)是以在一个或两个肾脏中出现大囊、导致慢性肾衰竭为特怔的疾病。肾脏在人体中作用是,过滤血液中以尿和细胞外流动的浓缩氢、钠、钾、磷及其它离子形式出现的代谢最终产物。
1994年欧洲多囊肾脏病协会从染色体16中分离出一种基因,染色体16在具有APCD的家属中遭到破坏。被PKD1基因编码的蛋白质是一种包含细胞-细胞间反应、细胞-基质间反应的整体薄膜蛋白。PKD1在正常细胞中的作用可能与中间微管功能有关,如在薄中放置Na(+),K(+)—ATPase
离子泵。程序性的细胞死亡或细胞凋亡可能也包含在APKD中,进一步搞清楚疾病的发病机制期待做进一步研究。
所以,称为“CPK”鼠是人类疾病众所周知的模型。期待对病鼠分子基础的究为提供更好理解人类疾病并希望出现更有效的医疗效果。
