肾小球肾炎(glomerulonephritis)是以肾小球损害为主的变态反应性炎症,是一种比较常见的疾病。临床表现主要有蛋白尿,血尿,水肿和高血压等。早期症状常不明显,容易被忽略,发展到晚期可引起肾功能衰竭,严重威胁病人的健康和生命,是引起肾功能衰竭最常见的原因。肾小球肾炎可为原发性和继发性。原发性肾小球肾炎指原发于肾的独立性疾病。病变主要累及肾。继发性肾小球肾炎的肾病变是其他疾病引起的,或肾病变是全身性疾病的一部分,如红斑狼疮性肾炎、过敏性紫癜性肾炎等。此外,血管病变如高血压、代谢疾病如糖尿病等都可引起肾小球病变。一般所称肾小球肾炎若不加说明常指原发性肾小球肾炎。部分继发性肾小球疾病在其他有关章节叙述。本节仅介绍原发性肾小球肾炎。
【病因和发病机制】
肾小球肾炎(简称肾炎)的病因和发病机制虽然尚水完全明了,但近年来的研究对阐明肾炎的病因和发病机制取得了很大进展。大量实验和临床研究证明肾炎的大多数类型都是抗原抗体反应引起的免疫性疾病。细胞免疫可能对某些肾炎的发病也有一定作用。
(一)引起肾小球肾炎的抗原
引起肾小球肾炎的抗原物质有些还不了解,已知的大致可分为内源性和外源性两大类。
1.内源性抗原
(1)肾小球本身的成分:肾小球基底膜的成分如层连蛋白和Goodpasture抗原(Ⅳ型胶原羧基端球状部的一种多肽),肾小球毛细血管上皮细胞的Heymann抗原(一种膜糖蛋白),内皮细胞膜抗原,系膜细胞膜抗原等。
(2)非肾小球抗原:核抗原,DNA,免疫球蛋白,免疫复合物,肿瘤抗原,甲状腺球蛋白抗原等。
2.外源性抗原
(1)感染的产物:细菌如链球菌,葡萄球菌,肺炎球菌,脑膜炎球菌,伤寒桿菌等。病毒如乙型肝炎病毒,麻疹病毒,EB病毒等。霉菌如白色念珠菌等和寄生虫如疟疾,Manson血吸虫,丝虫等。
(2)药物如青霉胺,金和汞制剂等。
(3)异种血清,类毒素等。
各种不同的抗原物质引起的抗体反应和形成免疫复合物的方式和部位不同,与肾小球肾炎的发病和引起的病变类型有密切关系。
(二)肾小球肾炎的免疫发病机制
免疫复合物形成引起肾小球肾炎基本上有两种方式:①抗体与肾小球内固有的不溶性肾小球抗原或植入在肾小球内的非肾小球抗原,在肾小球原位结合形成免疫复合物;②血液循环内形成的可溶性抗原抗体复合物沉积于肾小球。
1.肾小球原位免疫复合物形成抗体与肾小球内固有的抗原成分或植入在肾小球内的抗原结合,在肾小球原位直接反应,形成免疫复合物,引起肾小球损伤。近年来的研究证明,肾小球原位免疫复合物形成在肾小球肾炎的发病中起主要作用。由于抗原性质不同所引起的抗体反应不同,可引起不同类型的肾炎。
(1)肾小球基底膜抗原:肾小球基底膜本身的成分为抗原,机体内产生抗自身肾小球基底膜抗体,这种自身抗体直接与肾小球基底膜结合形成免疫复合物(图12-3)。用免疫荧光法可见免疫复合物沿肾小球毛细血管基底膜沉积呈连续的线形荧光(图12-4)。肾小球基底膜抗原的性质可能是基底膜内Ⅳ型胶原羧基端非胶原区的一种多肽。关于机体产生抗自身肾小球基底膜抗体的原因目前还不完全明了。可能在感染或某些因素的作用下,基底膜的结构发生改变而具有抗原性,可刺激机体产生自身抗体。或某些细菌、病毒或其他物质与肾小球基底膜有共同抗原性,这些抗原刺激机体产生的抗体可与肾小球毛细血管基底膜起交叉反应。抗肾小球基底膜抗体引起的肾炎称为抗肾小球基底膜性肾炎,是一种自身免疫性疾病。这类肾炎在人类较少见,约占人类肾小球肾炎的5%。

图12-3 肾小球肾炎原位免疫复合物形成机制示意图
左图:抗肾小球基底膜性肾小球肾炎 右图:非肾小球基底膜性抗原包括其他肾小球抗原或植入性抗原在肾小球内与抗体结合
○抗原,Y抗体,

图12-4 抗肾小球基底膜性肾炎
免疫复合物沿肾小球毛细血管基底膜沉积,呈连续的线形荧光免疫荧光染色FITC-IgG
(2)其他肾小球抗原:除肾小球基底膜外,肾小球内其他抗原成分如系膜细胞膜抗原Thy-1和上皮细胞的Heymann抗原等也可引起肾小球原位免疫复合物形成。典型的代表为实验性大鼠的Heymann肾炎。用肾小管刷状缘抗原免疫大鼠后,大鼠体内产生抗肾小管刷状缘抗体,并引起肾小球肾炎。目前已知这种刷状缘抗原即Heymann抗原,是一种分子量为330kD的糖蛋白(gp330),主要位于近曲小管刷状缘和肾小球。肾小球的gp330由脏层上皮细胞合成,合成后集中在上皮细胞足突底部表面与毛细血管基底膜相邻处。抗体与足突底部的gp330抗原结合,在毛细血管表面形成多数小丘状免疫复合物,免疫荧光染色呈不连续的颗粒状荧光(图12-5)。电子显微镜下可见肾小球毛细血管基底膜表面上皮细胞下有多数小堆状电子致密物沉积。

图12-5 膜性肾小球肾炎
免疫复合物沉积在肾小球毛细血管表面,呈不连续的颗粒状荧光免疫荧光染色FITC-IgG
(3)植入性抗原:非肾小球抗原可与肾小球内的成分结合,形成植入性抗原而引起抗体形成。抗体与植入抗原在肾小球内原位结合形成免疫复合物引起肾小球肾炎。
可形成肾小球植入抗原的非肾小球抗原可为内源性或外源性。例如带正电荷的非肾小球抗原或抗体,可与肾小球内带负电荷的成分如基底膜表面的硫酸类肝素、多糖蛋白或系膜细胞表面的阴离子结合形成植入抗原。免疫球蛋白,聚合的IgG等大分子物质常在系膜内沉积与系膜结合形成植入抗原。此外,细菌的产物如甲组链球菌产生的endostreptosin、病毒、寄生虫等感染产物和某些药物都可能与肾小球内的成分结合形成植入抗原。大多数植入抗原引起的肾小球肾炎,用免疫荧光法检查可见免疫复合物在肾小球内呈不连续的颗粒状荧光(图12-3右)。
2.循环免疫复合物沉积引起循环免疫复合物的抗原为非肾小球性,即不属于肾小球的组成成分。这些抗原可以是外源性的,如感染产物、异种蛋白、药物等。也可以是内源性的,如DNA、甲状腺球蛋白及肿瘤抗原等。这些抗原在机体内产生的相应抗体,对肾小球的成分无免疫特异性。抗原抗体在血液循环内结合,形成抗原抗体复合物。这些抗原抗体复合物随血液流经肾时,在肾小球内沉积引起肾小球损伤。应用电子显微镜可见肾小球内有电子致密物质沉积。用免疫荧光法检查可见免疫复合物在肾小球内呈颗粒状荧光(图12-6)。

图12-6 肾小球肾炎循环免疫复合物沉积机制示意图
○抗原;Y抗体;
抗原、抗体和免疫复合物在肾小球内沉积的部位与免疫复合物的大小,抗原、抗体和免疫复合物的电荷有关。含大量阳离子的抗原容易通过肾小球基底膜,在基底膜外侧上皮细胞下形成免疫复合物。含大量阴离子的大分子物质不易通过基底膜,往往在内皮细胞下沉积,或被吞噬清除,不引起肾炎。接近中性的分子形成的免疫复合物往往容易沉积于系膜内。此外,抗原和抗体的性质,肾小球的结构和形态,如电荷、通透性、血液动力学以及系膜细胞和单核巨噬细胞的功能等都与免疫复合物形成的部位和所引起的肾组织病变类型有密切关系。
以上引起肾炎的两种途径,即肾小球原位免疫复合物形成和循环免疫复合物形成并非完全互不相关。两者既可单独进行,也可共同作用引起肾小球肾炎。两种发病机制引起的肾炎都可表现为急性或慢性过程,病变也都可有轻有重。这一方面与抗原和抗体的性质、数量、免疫复合物沉积的量和持续的时间有关。另方面也取决于机体的免疫状态和反应性等内在因素。
关于细胞免疫在肾小球肾炎发生中的作用,由于有些病人或实验性肾炎组织中无免疫复合物,但可见巨噬细胞或淋巴细胞反应,故有人认为,这些肾炎的发生可能与T细胞介导的细胞免疫有关。近年来有实验证明,T细胞可不依赖抗体引起肾炎。
(三)引起肾小球肾炎的介质
免疫复合物在肾小球内沉积后,可通过不同的机制引起肾小球损伤。引起肾小球损伤的主要介质包括抗体、补体、中性粒细胞、单核巨噬细胞、血小板、系膜细胞和凝血系统等。
1.抗体通过各种方式沉积在肾小球内的抗体可以在没有补体或炎症细胞的参与下,单独引起肾小球损伤。实验证明豚鼠的一种抗肾小球基底膜抗体和有些不固定补体的抗肾小球上皮细胞膜的单克隆抗体,可作用于上皮细胞膜引起上皮细胞的改变,使上皮细胞与基底膜脱离或损伤基底膜引起肾炎。
2.补体免疫复合物结合并激活补体。活化补体可通过两种方式:①吸引中性粒细胞和②补体的末端成分(C5b~9)引起肾小球损伤。
补体成分C3a,C5a具有过敏毒素作用使血管通透性增加。C3a,C5a和C567具有化学趋向性可吸引中性粒细胞。C3b可增强粒细胞的吞噬作用和促进免疫吸附。中性粒细胞粘附于血管壁,释放炎症介质尤其是蛋白酶和氧代谢活性产物破坏毛细血管内皮细胞和基底膜。
补体的末端成分(C5b~9)形成膜攻击复合物可在没有中性粒细胞参与下引起肾小球损伤。C5b~9可刺激肾小球脏层上皮细胞产生氧代谢活性产物和蛋白酶等炎症介质损伤基底膜,并可刺激系膜细胞产生蛋白酶、氧自由基、白细胞介素-1和前列腺素等引起肾小球损伤。
3.中性粒细胞中性粒细胞除通过补体成分的化学趋向性作用在肾小球聚集引起炎症外,有些细胞损伤后释放的血小板活化因子、血小板源性生长因子、白细胞三烯B4等也具有吸引中性白细胞的作用。
4.单核细胞和巨噬细胞有些肾炎时肾小球内有多数单核细胞浸润。活化的单核细胞可产生多种生物活性物质如蛋白酶、白细胞三烯、前列腺素、IL-1、血小板源性生长因子和凝血因子等与肾小球炎症的发生和发展有关。
5.血小板有些肾炎时通过补体的作用,血小板在肾小球内集聚释放血栓素A2,血小板活化因子,花生四烯酸代谢产物和生长因子等可促进白细胞释放蛋白分解酶和促使系膜细胞增生引起肾小球炎症。
6.系膜细胞 在免疫复合物、补体、C5b~9、内毒素和生长因子等作用下,系膜细胞增生并被活化。活化的系膜细胞可产生许多炎症介质如蛋白酶,氧代谢活性产物,IL-1及生长因子等可不依赖中性粒细胞引起肾小球炎症。
7.凝血系统内皮细胞损伤,基底膜胶原暴露激活Ⅻ因子。活化的Ⅻ因子可激活凝血系统、激肽系统及纤维蛋白溶酶系统引起炎症。此外,内皮细胞和单核巨噬细胞产生的促凝血因子可促使渗入肾球囊的纤维蛋白原凝集,刺激细胞增生,与肾小球病变的发展,尤其是新月体的形成有重要关系。
【肾小球肾炎的分类】
肾小球肾炎的命名和分类方法很多,分类的基础和依据各不相同,意见也不完全一致。近三十余年来通过开展肾穿刺活检,对肾炎的病理变化和病变发展过程的认识有了很大提高。肾炎的病理变化与临床发展有密切联系,肾小球肾炎的病理分类对临床治疗和预后有很大帮助,已在各国普遍应用。本节主要根据1982年WHO美国J.Churg教授主持制定的肾小球疾病的病理分类,介绍原发性肾小球肾炎的主要类型(表12-1)及其特点和病理变化。
表12-1 原发性肾小球肾炎的分类
| 1.肾小球轻微病变 |
| 2.局灶性/节段性肾小球硬化 |
| 3.局灶性/节段性肾小球肾炎 |
| 4.弥漫性肾小球肾炎 |
| (1)膜性肾小球肾炎(膜性肾病) |
| (2)系膜增生性肾小球肾炎 |
| (3)毛细血管内增生性肾小球肾炎 |
| (4)膜性增生性肾小球肾炎(系膜毛细血管性肾小球肾炎)Ⅰ型及Ⅲ型 |
| (5)致密沉积物性肾小球肾炎(致密沉积物病;膜性增生性肾小球肾炎Ⅱ型) |
| (6)新月体性(毛细血管外增生性)肾小球肾炎 |
| 5.未分类肾小球肾炎 |
根据肾炎时肾组织病变的范围可将肾小球肾炎分为局灶性和弥漫性。病变累及肾组织中全部或绝大部分肾小球者称为弥漫性肾小球肾炎;病变仅累及少数或部分肾小球者称为局灶性肾小球肾炎。根据肾小球的病变情况,每个肾小球的病变可分为球性和节段性。整个肾小球皆受累者称为球性,病变仅累及肾小球的一部分或少数毛细血管袢者称为节段性。
肾小球肾炎的病变类型较多,临床表现也不相同。肾炎的病变类型与临床表现虽有密切关系,但不完全平行。相似的症状可由不同的病变引起,相似的病变也可引起不同的症状。此外,肾炎的临床表现尚与病变的严重程度、发病机制、持续时间、发病急缓等都有关系。一般可将肾炎的临床表现大致分为以下几个类型。
(1)急性肾炎综合征:起病急,常突然出现血尿、程度不同的蛋白尿、少尿、水肿、高血压,肾小球滤过率降低。
(2)快速进行性肾炎综合征:突然或逐渐出现血尿、少尿、蛋白尿、贫血,快速进展为肾功能衰竭。
(3)复发性或持续性血尿:起病缓慢或急骤,常表现为肉眼或镜下血尿,可伴有轻度蛋白尿。一般没有其他肾炎症状。
(4)慢性肾炎综合征:起病缓慢,逐渐发展为慢性肾功能不全,可伴有蛋白尿、血尿和高血压。
(5)肾病综合征:表现为大量蛋白尿、严重水肿、低蛋白血症,并常有高脂血症。
肾小球肾炎的分类比较复杂,为了便于理解,现根据各型肾炎的病变特点简介如下。
弥漫性毛细血管内增生性肾小球肾炎(diffuse endocapillary proliferative glomerulonephritis)病变为弥漫性,两侧肾几乎全部肾小球皆受累。这种肾炎常发生于感染以后,故有感染后肾小球肾炎之称。最常见的为A组乙型溶血性链球菌感染,其中以12型、4型、1型及49型与肾炎的关系最为密切。一般发生在链球菌感染后1~3周,是链球菌感染引起的变态反应性疾病,称为链球菌感染后肾炎。除链球菌外,其他细菌如葡萄球菌、肺炎球菌和某些病毒及寄生虫等也可引起这种类型的肾炎。这种肾炎多见于儿童,成人也可发生,但病变往往比儿童严重。一般发病较急,临床主要表现为急性肾炎综合征。
【病理变化】
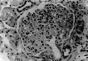
病变为弥漫性,两侧肾同时受累。病变进展较快,主要变化为肾小球内细胞增生。早期,肾小球毛细血管充血,内皮细胞和系膜细胞肿胀增生并有少量中性粒细胞浸润。毛细血管通透性增加,血浆蛋白质可以滤过而进入肾球囊。因此,病人的尿液中常有蛋白、红细胞及白细胞。轻型病人,病变可不再发展,以后逐渐痊愈;比较严重的病例,病变继续发展,肾小球内细胞增生加重。增生的细胞主要为系膜细胞和内皮细胞。增生细胞压迫毛细血管,使毛细血管腔狭窄甚至闭塞,肾小球呈缺血状(图12-7)。此外,肾小球内有多数炎性细胞浸润,主要为中性粒细胞,有时并有少数嗜酸性粒细胞、单核细胞、红细胞、浆液和纤维素性渗出液。镜下,肾小球内细胞数量增多,肾小球体积增大。病变严重时,毛细血管腔内可有血栓形成,毛细血管壁可发生纤维素样坏死。坏死的毛细血管袢破裂出血,大量红细胞进入肾球囊及肾小管腔内,可以引起明显的血尿。不同的病例病变表现形式可能不同。有的以渗出为主,称为急性渗出性肾小球肾炎。有些病变严重,肾小球毛细血管袢坏死,有大量出血者称为出血性肾小球肾炎。

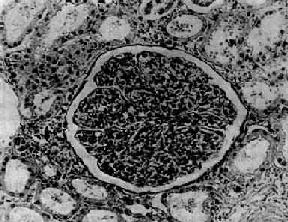
图12-7 弥漫性毛细血管内增生性肾小球肾炎
肾小球内细胞数量增多,系膜细胞和内皮细胞增生并有少量中性白细胞浸润,毛血管腔狭窄
上皮细胞一般无明显增生,少数严重的病例肾小球的壁层和脏层上皮细胞可增生,形成新月体。这种病变容易引起肾小球纤维化。如数量少,对功能影响不大。如病变广泛,可发展为新月体性肾炎。
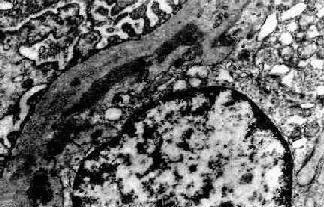
在电子显微镜下可见肾小球系膜细胞和内皮细胞增生肿胀。基底膜和脏层上皮细胞间有致密物质沉积。这些沉积物大小不等,有的很大,在基底膜表面呈驼峰状或小丘状(图12-8,图12-9)。沉积物表面的上皮细胞足突多消失。基底膜变化不明显有时边缘稍不规则。沉积物一般在发病后几天就可出现,在4~6周内消失。有时基底膜内侧内皮细胞下和系膜内也可见小型沉积物。

图12-8 毛细血管内增生性肾小球肾炎
电镜下见肾小球毛细血管基底膜表面上皮细胞下有多数驼峰状电子致密沉积物

图12-9 毛细血管内增生性肾小球肾炎
电镜下见驼峰状沉积物位于毛细血管基底膜表面。沉积物表面有上皮细胞覆盖,上皮细胞足突消失
免疫荧光法检查显示,在肾小球毛细血管壁表面有免疫球蛋白和补体沉积(主要为IgG和C3),呈颗粒状荧光。系膜内也可有类似沉积物。
肾小球的病变可引起相应的肾小管缺血,肾小管上皮细胞常有浊肿、玻璃样变和脂肪变等。管腔内含有从肾小球滤过的蛋白、红细胞、白细胞和脱落上皮细胞。这些物质在肾小管内凝集,形成各种管型,如蛋白管型、透明管型、细胞管型(如红细胞、白细胞或上皮细胞管型)、颗粒管型。
肾间质内常有不同程度的充血、水肿和少量淋巴细胞、中性粒细胞浸润。
肉眼观,早期变化不明显。以后肾轻度或中度肿大、充血、包膜紧张、表面光滑、色较红,故称大红肾。若肾小球毛细血管破裂出血,肾表面及切面可见散在的小出血点如蚤咬状,称蚤咬肾。切面可见皮质由于炎性水肿而增宽,条纹模糊与髓质分界明显。
【临床病理联系】
这种肾炎的主要临床症状为尿的变化,水肿和高血压。
1.尿的变化由于肾小球毛细血管损伤,通透性增加,故常有血尿、蛋白尿、管型尿等。
(1)血尿:血尿常可反映肾小球毛细血管损伤的情况。轻度血尿需用显微镜才能发现。严重的血尿,肉眼可见尿呈鲜红色。有时尿中红细胞溶解,血红蛋白在酸性尿中转变成酸性血红素,使尿呈棕红色。
(2)蛋白尿:蛋白尿的程度不同,一般不很严重,但少数病人尿中可有大量蛋白质。
(3)管型尿:在肾小管内凝集形成的管型随尿液排出,尿液内可出现各种管型,称为管型尿。
(4)少尿:由于肾小球细胞增生肿胀,压迫毛细血管,致管腔狭小,肾血流受阻,肾小球滤过率降低,而肾小管再吸收无明显障碍,可引起少尿,致水钠在体内潴留。严重者并可有含氮代谢产物潴留,引起氮质血症。
2.水肿病人常有轻度或中度水肿,往往首先出现在级织疏松的部位如眼睑。水肿的原因主要是由于肾小球滤过减少,而肾小管再吸收功能相对正常,引起水钠潴留。此外,也可能与变态反应所引起的全身毛细血管痉挛和通透性增加有关。
3.高血压病人常有轻至中度高血压。过去认为这种肾炎时的高血压与肾小球毛细血管阻塞,肾组织缺血引起肾素分泌增加有关。但病人血中肾素浓度多在正常范围之内。因此高血压的主要原因可能与水钠潴留引起的血量增加有关。严重的高血压可导致心力衰竭及高血压性脑病。
【结局】
这种肾炎的预后与年龄和病因有一定关系。儿童链球菌感染后肾小球肾炎的预后很好,95%以上可在数周或数月内症状消失,病变消退,完全恢复。少数病人病变消退较慢,肾小球系膜增生,可持续数月甚至1~2年。临床上,病人常有迁延性蛋白尿和复发性血尿。有时无明显症状,成为隐匿性肾炎。这种病变大多以后仍可消退,恢复正常。少数病人(约占1%~2%)临床症状消失,但病变持续不退,以后症状可反复,逐渐发展为慢性硬化性肾小球肾炎。极少数病人病变严重,发展较快,同时有明显的肾球囊上皮细胞增生,形成大量新月体,可发展为新月体性肾小球肾炎。这些病人常迅速发生急性肾功能衰竭,预后差。还有极少数(<1%)病人病变严重,发展迅速,在短期内发生肾功能衰竭、心力衰竭或高血压性脑病。
一般成人患感染后肾小球肾炎者预后较差,发生肾功能衰竭和转变为慢性肾炎者较多。此外,由其他感染引起的肾炎转变为慢性肾小球肾炎者,比链球菌感染后肾炎转为慢性者多见,预后也较差。
弥漫性系膜增生性肾不球肾炎(diffuse mesangial proliferative glomerulonephritis)的病变特点为弥漫性肾小球系膜增生。多见于青少年,我国及东方国家比西方国家多见。本病可为原发性,也可在一些全身性疾病时发生,如系统性红斑狼疮、过敏性紫癜等。有些迁延性毛细血管内增生性肾小球肾炎病变持续不退,可表现为系膜增生性肾小球肾炎。临床可表现为肉眼或镜下血尿或蛋白尿,或两者兼有。少数表现为肾病综合征。
【病理变化】
主要病变为肾小球系膜细胞和基质增生,系膜区增宽(图12-10,图12-11)。毛细血管壁无明显变化,管腔通畅。系膜内可有少数单核细胞和中性粒细胞浸润。病变严重者可引起系膜硬化。

图12-10 弥漫性系膜增生性肾小球肾炎
肾小球系膜区略增宽,系膜细胞数量增多

图12-11正常肾小球毛细血管及系膜增生性肾小球肾炎示意图
1.正常肾小球毛细血管及系膜示意图 2.系膜增生性肾小球肾炎示系膜增生
电子显微镜检查可见除肾小球系膜增生外,系膜内并有电子致密物沉积。有时肾小球基底膜表面上皮细胞下、内皮细胞下也可见小形致密沉积物。
免疫荧光法检查显示,系膜区内有免疫复合物沉积,主要为IgM,有时可同时伴有C3沉积。有些病例系膜区内免疫复合物主要为IgG、IgA及C3。
【临床病理联系】
病变主要累及系膜,早期症状多不明显,仅有轻度蛋白尿或复发性血尿,容易被忽略。系膜内沉积的免疫复合物与临床症状有一定联系。有IgM沉积的病人多表现为肾病综合征。同时有IgG、IgA及C3沉积者多伴有血尿。
【结局】
一般病变可及时消退,预后较好。有时病变可持续2~3年,以后仍可消退。部分病人病变严重,不能及时消退,继续发展可导致系膜硬化和肾小球硬化。晚期可发展为硬化性肾小球肾炎和慢性肾功能不全。
弥漫性新月体性肾小球肾炎(diffuse crecsentic glomerulonephritis)又称毛细血管外增生性肾小球肾炎(extracapillary glomerulonephritis),比较少见,大多见于青年人和中年人,儿童与老年人也可发生,但较少见。病变特点为肾小球内有大量新月体形成。病变严重,进展很快。主要症状为血尿,并迅速出现少尿、无尿、高血压和氮质血症。如不采取措施,常在数周至数月内发生肾功能衰竭,死于尿毒症,故又称快速进行性肾小球肾炎(rapidly progressive glomerulonephritis)。这种肾炎可与其他肾小球疾病伴发,如严重的毛细血管内增生性肾小球肾炎,肺出血肾炎综合征(Goodpasture综合征)或系统性红斑狼疮,过敏性紫癜等。但多数原因不明,为原发性。
【病理变化】
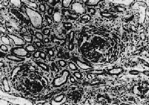
病变为弥漫性。镜下可见大部分肾小球内有新月体形成。新月体主要由肾小球上皮细胞增生和渗出的单核细胞组成。肾小球上皮细胞主要是壁层上皮细胞增生显著,堆积成层,在肾球囊内毛细血管丛周围呈新月形或环状,故称为新月体或环状体(图12-12)。新月体形成很快,可在发病后数日内形成。增生的上皮细胞间可见红细胞、中性粒细胞和纤维素性渗出物。有时可见球丛毛细血管发生纤维素样坏死和出血。肾球囊内的纤维蛋白可刺激上皮细胞增生,是促使新月体形成的原因。系膜和内皮细胞也增生,但一般程度较轻。早期新月体主要由增生的上皮细胞和单核细胞组成,称为细胞性新月体。新月体内增生的上皮细胞之间逐渐出现新生的纤维细胞,以后纤维组织逐渐增多形成纤维-细胞性新月体。最后新月体内的细胞和渗出物完全由纤维组织替代,成为纤维性新月体。

图12-12 新月体性肾小球肾炎
肾球囊壁层上皮细胞增生,其间有单核巨噬细胞浸润形成新月体,肾球囊腔被阻塞
新月体形成后,一方面压迫毛细血管丛,另方面肾球囊增厚与球丛粘连,使肾球囊腔闭塞,肾小球的结构和功能严重破坏,影响血浆从肾小球滤过,最后毛细血管丛萎缩、纤维化,整个肾小球纤维化玻璃样变,功能丧失。
电镜下,可见肾小球毛细血管基底膜不规则增厚,部分变薄,有时在基底膜上、膜内或膜下可见电子密度高的沉积物。在增生上皮细胞形成的新月体内,可见纤维蛋白条索。有时可见肾小球毛细血管基底膜有裂孔或缺损。血液内的红细胞和纤维蛋白原可通过这些缺损进入肾球囊,促使肾小球上皮细胞增生。
免疫荧光检查结果不一,与致病原因有关。有些病例在肾小球毛细血管基底膜下呈现连续的线形荧光,可能与抗肾小球基底膜性肾炎有关。有些在肾小球基底膜上呈不规则的粗颗粒状荧光,约半数病例很少或不见荧光阳性沉积物。
除肾小球病变外,肾小管上皮细胞常有浊肿和脂肪变,腔内有蛋白凝固而形成的透明管型。由于肾小球纤维化,其所属的肾小管也萎缩消失。间质内纤维组织增生,有多数淋巴细胞,单核细胞等炎性细胞浸润。肉眼观可见肾体积增大,颜色苍白,皮质内有时可见散在的点状出血。
【临床病理联系】
快速进行性肾小球肾炎病人临床上多出现血尿、蛋白尿,迅速出现少尿,甚至无尿和氮质血症。由于这种肾炎常发生在坏死性肾小球肾炎的基础上,病变进展快,肾小球毛细血管坏死,基底膜缺损和出血,因此血尿常比较明显,蛋白尿相对较轻,水肿不明显。大量新月体形成后,阻塞肾球囊腔,血浆不能滤过,故出现少尿甚至无尿。代谢废物不能排出,在体内潴留引起氮质血症。大量肾单位纤维化,玻璃样变,肾组织缺血,通过肾素-血管紧张素的作用,可发生高血压。由于病变广泛,大量代谢产物在体内堆积,水电解质和酸碱平衡调节紊乱,最后可导致肾功能衰竭。
【结局】
快速进行性肾小球肾炎,由于病变广泛,发展迅速,预后较差,如不及时采取措施病人往往于数周至数月内死于尿毒症。预后一般与病变的广泛程度和新月体的数量有关。肾内80%~90%以上肾小球皆有新月体形成者往往不能恢复;50%~80%有新月体形成病变程度较轻者进展较慢,存留的肾小球可保留部分功能,病人可维持较长时间。近年来应用中西医结合治疗、人工肾和肾移植等对快速进行性肾不球肾炎的治疗取得了一定的效果。
肺出血肾炎综合征(Goodpasture syndrome)的主要病变为肺出血合并肾小球肾炎。这种肾炎大都是抗肾小球基底膜抗体引起的新月体性肾小球肾炎,是抗肾小球基底膜抗体引起的肾小球肾炎的典型代表。抗肾小球基底膜抗体可与肺泡基底膜发生交叉反应,引起肺出血。一般发病急,常为暴发性。临床上主要表现为咯血和快速进行性肾功能衰竭。本病较少见,多发生于青壮年,小儿及老年人较少,男性多于女性。
【病理变化】
肾的变化主要表现为新月体性肾小球肾炎。病变轻重不等,轻者早期肾小球毛细血管呈局灶性节段性增生及毛细血管袢纤维素样坏死。病变往往迅速发展引起大量新月体形成,其间可见单核细胞和中性粒细胞浸润。电镜下可见毛细血管基底膜局部破裂,周围有红细胞和纤维蛋白聚集。免疫荧光法检查可见免疫球蛋白和补体沿肾小球毛细血管基底膜沉积,呈连续性线形荧光。
在肺出血肾炎综合征的病人中约95%以上可在血液循环内检出抗肾小球基底膜抗体。这些抗体与肺泡基底膜及肾小管和肾球囊基底膜雹有交叉反应。虽然目前认为肺出血肾炎综合征是抗肾小球基底膜抗体引起的自身免疫性疾病,但是促使机体产生抗肾小球基底膜抗体的原因还不清楚,可能与遗传素质有关。
【临床病理联系和结局】
病人开始时往往先有肺部症状,主要表现为反复咯血,随后出现肾炎症状,主要表现为血尿、蛋白尿、少尿,常迅速发展至无尿、氮质血症和尿毒症。病人的预后与病变范围有关。如肾小球新月体形成少于80%,则预后较好,如不及时采取措施病人往往死于肺部大出血或肾功能衰竭。近年来应用血浆交换和肾移植治疗效果较好。
弥漫性膜性增生性肾小球肾炎(diffuse membranoproliferative glomerulonephritis)又称系膜毛细血管性肾小球肾炎(mesangiocapillary glomerulonephritis),其病变特点为弥漫性肾小球毛细血管壁增厚和系膜增生。各种年龄都可发病,但多见于青年和中年人。起病缓慢,是一种慢性进行性疾病。早期症状不明显,临床症状表现不一,常有血尿、蛋白尿。约半数起病时即表现为肾病综合征,并常有高血压和肾功能不全。有些病人的血清补体降低,故又称为低补体血症性肾小球肾炎(hypocomplementemic glomerulonephritis)。
【病理变化】
肾小球系膜细胞和基质增生。系膜区增宽,其间常有数量不等的中性粒细胞浸润。增生的系膜组织逐渐向周围毛细血管伸展,侵入毛细血管基底膜与内皮细胞之间,使毛细血管壁增厚,管腔狭窄(图12-13)。应用银染法可见增厚的毛细血管壁呈车轨状或分层状。由于系膜增生,系膜区增宽,使毛细血管丛呈分叶状。严重时可使轴心处呈结节状。病变继续发展,增生的系膜组织可环绕全部毛细血管壁,使管壁显著增厚,管腔狭小甚至阻塞。有时部分肾小球内可有新月体形成。晚期,系膜及肾小球纤维化、硬化,整个肾小球形成无结构的玻璃样小团。相应的肾小管萎缩,间质纤维组织增生,有多数淋巴细胞及单核细胞浸润。

图12-13 膜性增生性肾小球肾炎
肾小球系膜细胞增多,增生的系膜组织侵犯毛细血管,毛细血管壁增厚,腔狭小,肾小球丛呈分叶状
电镜观察可见肾小球系膜增生,毛细血管基底膜不规则增厚。增生的系膜组织沿毛细血管基底膜和内皮细胞之间向毛细血管周围部分伸展,甚至环绕全部毛细血管壁,使毛细血管壁增厚。肾小球内有大量电子致密物沉积。根据沉积物的部位,可将膜性增生性肾小球肾炎分为3型:
Ⅰ型电子致密物沉积在肾小球基底膜内侧,内皮细胞下,大小不等,常聚积成大团块状(图12-14,图12-15)。系膜内和上皮细胞下偶然也可见有少量小而不规则的沉积物。

图12-14 膜性增生性肾小球肾炎Ⅰ型示意图
肾小球系膜增生并侵入周围毛细血管,血管壁增厚,基底膜内侧内皮细胞下有电子致密沉积物

图12-15 膜性增生性肾小球肾炎 Ⅰ型
肾小球毛细血管基底膜内侧,内皮细胞下电子致密沉积物,部分上皮细胞足突消失
Ⅱ型肾小球毛细血管基底膜不规则增厚。在基底膜致密层内有高电子密度的粗大呈带状的沉积物(图12-16)。故这型肾炎又称为致密沉积物性肾小球肾炎或致密沉积物病。

图12-16 膜性增生性肾小球肾炎Ⅱ型示意图
肾小球系膜增生并侵入周围毛细血管,血管壁增厚,毛细血管基底膜致密层内有高电子密度致密沉积物,粗大呈带状
Ⅲ型肾小球毛细血管基底膜内皮细胞下和上皮细胞下都有电子致密物沉积,并可伴有基底膜断裂。
免疫荧光检查,Ⅰ型显示IgG和C3沿肾小球毛细血管和系膜区内呈颗粒状荧光,有时也有少量C1q,C4及C2。Ⅱ型时主要有大量C3沉积,一般无其他早期的补体成分和免疫球蛋白。可能说明在这种肾炎的发病中,补体主要通过替代途径激活。
【临床病理联系】
肾小球内大量C3沉积,说明肾炎发病过程中大量补体被消耗,故病人血清补体降低。
早期病变主要在系膜,血管壁变化较轻,症状不明显,或仅有轻度蛋白尿或血尿。病变逐渐发展侵犯毛细血管壁可引起肾病综合征。晚期,系膜硬化,肾小球毛细血管腔狭小或阻塞,肾小球纤维化,肾小球血流减少,可导致高血压和肾功能不全。
【结局】
病变为慢性进行性,病程长,对激素或免疫抑制剂治疗效果短暂或不明显,可逐渐发展为弥漫性硬化性肾小球肾炎。约50%的病人在10年内发生慢性肾功能衰竭。肾移植后复发率也较高,尤其是Ⅱ型膜性增生性肾炎预后更差。
弥漫性膜性肾小球肾炎(diffuse membranous glomerulonephritis)的主要病变为弥漫性肾小球毛细血管基底膜增厚,常伴有大量蛋白尿,是引起肾病综合征的主要原因之一。由于肾小球无明显炎症现象,故又称为膜性肾病。起病缓慢,病程长,多见于青年和中年人,儿童患者较少。
【病理变化】
病变为弥漫性,镜下可见肾小球毛细血管壁增厚,通透性明显增加,早期病变轻,不易察觉,易与轻微病变性肾小球肾炎混淆。随病变进展,管壁增厚逐渐加重。
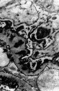
电镜下可见毛细血管基底膜表面,上皮细胞下,有多数细小的小丘状沉积物。基底膜表面形成许多钉状突起插入小丘状沉积物之间。银染色基底膜及钉状突起呈黑色。钉状突起与基底膜垂直相连形如梳齿(图12-17,图12-18)。免疫荧光法证实沉积物内含免疫球蛋白和补体,多为IgG和C3,沿基底膜表面呈颗粒状荧光。早期沉积物和基底膜钉状突起少而细小,以后逐渐增多、增大,基底膜增厚,钉状突起伸向沉积物表面将沉积物包围,最后大量沉积物被埋藏在增厚的基底膜内,基底膜高度增厚(图12-19)。沉积物在增厚的基底膜内逐渐溶解,使基底膜呈虫蚀状。以后这些空隙由基底膜物质充填。由于基底膜高度增厚,故毛细血管腔狭小,甚至阻塞。系膜硬化,最后整个肾小球被玻璃样变。

图12-17 膜性肾小球肾炎示意图
1.膜性肾小球肾炎的病变特点示上皮细胞下小丘状电子致密沉积物及毛细血管基底膜形成钉状突起插在沉积物之间2.膜性肾小球肾炎病变发展过程
Ⅰ期:基底膜表面小形丘状沉积物Ⅱ期:基底膜表面形成钉状突起插入沉积物之间,银染色形似梳齿Ⅲ期:沉积物被增生的基底膜包围,埋藏于基底膜内Ⅳ期:基底膜增厚,其中部分沉积物消散,呈虫蚀状

图12-18 膜性肾小球肾炎
电镜下见肾小球毛细血管基底膜表面,上皮细胞下电子致密沉积物,基底膜向表面突出伸入沉积物之间,上皮细胞足突融合

图12-19 膜性肾小球肾炎
电镜下见肾小球毛细血管基底膜增厚,电子致密沉积物被增生的基底膜包围并埋藏于基底膜内
肾小球毛细血管损伤,通透性显著增加,大量蛋白由肾小球滤过进入肾小管,部分被肾小管再吸收。近曲小管上皮细胞浊肿,胞浆内常有玻璃样变颗粒和大量脂肪空泡。晚期随肾小球病变加重,肾小管也萎缩。间质纤维组织增生,炎性细胞浸润较少。
肉眼观,早期可见肾肿胀,体积增大,色苍白。切面皮质明显增宽,髓质无特殊变化。晚期,肾体积缩小,表面呈细颗粒状。
【临床病理联系】
膜性肾小球肾炎是引起肾综合征最常见的原因之一。成人肾病综合征由膜性肾小球肾炎引起者约占40%,小儿仅占5%。膜性肾小球肾炎时,肾小球基底膜严重损伤,通透性显著增加,大量蛋白包括大分子蛋白都可由肾小球滤过引起严重的非选择性蛋白尿。由于大量蛋白由尿中排出,血浆蛋白降低,引起低蛋白血症,血浆胶体渗透压降低,血管内液体渗入组织间隙,引起水肿。同时血容量减少,肾小球血流量和肾小球滤过减少,醛固酮和抗利尿激素分泌增加,引起水钠潴留,进一步加重水肿。因此水肿很严重,往往为全身性,以眼睑和身体下垂部分最明显,严重者并可有胸水和腹水。
高脂血症的原因还不很清楚,可能由于低蛋白血症刺激肝合成各种血浆蛋白包括脂蛋白增多,因此病人有高脂血症和高胆固醇血症。由于血脂过高,血浆内的脂蛋白也可由肾小球滤过,引起脂尿症。
膜性肾小球肾炎时,肾小球内无明显增生和炎症现象。早期,毛细血管不狭窄,血流通畅,故血尿不多见,血压不高,无明显氮质血症。晚期,毛细血管阻塞,肾小球硬化,可引起高血压和肾功能衰竭。
【结局】
膜性肾小球肾炎起病缓慢,病程较长。病变轻者,症状可消退或部分缓解。多数则反复发作,对皮质激素治疗效果不显著。发展到晚期,大量肾单位纤维化、硬化,可导致肾功能衰竭和尿毒症。
轻微病变性肾小球肾炎(minimal change glomerulonephrits)的病变特点是在光学显微镜下肾小球无明显变化或病变轻微,故名。由于本病肾小管上皮细胞内常有大量脂质沉积,故又称为脂性肾病(lipoid nephrosis)。临床上常表现为肾病综合征。脂性肾病多见于小儿,成人患者较少,是引起小儿肾病综合征最常见的原因。在小儿肾病综合征中约65%~85%由脂性肾病引起。成人肾病综合征由脂性肾病引起者约占10%~30%。脂性肾病病变可完全恢复,对皮质激素治疗效果很好。
轻微病变性肾炎与其他类型肾炎不同,电镜观察未找到沉积物,免疫荧光检查也未发现肾小球内有免疫球蛋白或补体。其病因和发病机制尚不清楚。有些现象如有些病人在呼吸道感染后发病,或同时伴有其他过敏性疾病,如过敏性鼻炎和湿疹等,提示可能与免疫机制有关。Hodgkin病患者轻微病变性肾炎发病率较高,而已知Hodgkin病患者常有T细胞功能缺陷,故有人认为这种肾炎的发病可能与T细胞功能异常有关。近来有学者提出,肾小球多聚阴离子减少可能是造成本病肾小球毛细血管上皮细胞变化和大量蛋白尿的原因。
【病理变化】
光学显微镜下,肾小球无明显变化或仅有轻度节段性系膜增生。电镜下见弥漫性肾小球脏层上皮细胞足突消失(图12-20),细胞内高尔基器和内质网增多,并可见脂滴。细胞表面常有多数微绒毛形成。足突消失不仅见于脂性肾病,也常见于其他原因引起的大量蛋白尿和肾病综合征。经过治疗或蛋白尿等症状缓解后,脏层上皮细胞的变化可恢复正常。

图12-20 轻微病变性肾小球肾炎
电镜下见肾小球毛细血管上皮细胞部分足突消失
肾小管上皮细胞内有多数玻璃样小滴和脂类沉积,是由于肾小球毛细血管通透性增加,大量脂蛋白通过肾小球滤出,而在肾小管被重吸收所致。肾小管腔内可有透明管型。这些变化常与蛋白尿的程度平行。
肉眼观,肾肿胀,体积较大,色苍白。由于大量脂类沉着,切面可见黄色条纹。
【临床病理联系】
脂性肾病病人临床上大多表现为肾病综合征,有大量蛋白尿和严重水肿,与膜性肾小球肾炎不同的是,蛋白尿为高度选择性,主要含小分子蛋白,如白蛋白。肾小球的病变轻微,故一般无血尿和高血压,肾功能也不受影响。
【结局】
大多数病人对皮质激素治疗效果很好,90%以上儿童可以完全恢复,病变在数周内消失。成人预后也很好。少数病人可有反复,一般不发展成慢性。
局灶性节段性肾小球硬化(focal segmental glomeralosclerosis)病变为局灶性,节段性,仅累及少数或部分肾小球。病变的肾小球毛细血管丛呈节段性硬化,是引起肾病综合征常见的原因之一。多见于儿童和青年人。此型肾炎病变为进行性,病人对激素治疗效果不理想。多继续发展为弥漫性硬化性肾小球肾炎。
【病理变化】
病变为局灶性,往往从肾皮质深部近髓质部分的少数肾小球开始。早期仅少数肾小球受累,其他肾小球无明显病变或病变轻微。病变的肾小球毛细血管丛的部分毛细血管萎陷,系膜增宽、硬化、玻璃样变(图12-21)。系膜内和毛细血管内常有脂滴和玻璃样物质沉积。有时可见吞噬脂类的泡沫细胞聚积。电镜下可见硬化部分毛细血管基底膜皱缩,厚薄不均匀。其间可见电子致密物和脂滴沉积。上皮细胞足突消失。免疫荧光检查可见病变肾小球内有免疫球蛋白和补体沉积,主要为IgM和C3。

图12-21 局灶性节段性肾小球硬化
肾小球毛细血管丛的一段硬化,玻璃样变
病变继续发展,受累的肾小球逐渐增多。有些肾小球毛细血管丛可全部纤维化、硬化、玻璃样变(球性硬化)。相应的肾小管也萎缩、纤维化。肾间质纤维组织增生,有少量淋巴细胞和单核细胞浸润,有时并可见泡沫细胞聚积。晚期,大量肾小球硬化可发展为弥漫性硬化性肾小球肾炎而导致肾功能不全。
【临床病理联系和结局】
局灶性节段性肾小球硬化病人约80%表现为肾病综合征。但与一般肾病综合征不同,其中约2/3同时伴有血尿,并常有高血压。大量蛋白尿,多为非选择性。病人对激素治疗效果不好,有效率仅为20%~30%。病变为进行性,常继续发展,可导致肾功能不全。一般儿童预后比成年人好。
局灶性节段性肾小球肾炎(focal segmental glomerulonephritis)的病变特点为局灶性和节段性,仅累及部分肾小球,而受累肾小球的病变仅限于肾小球毛细血管丛的一部分。局灶性节段性肾小球肾炎可继发于全身性疾病如系统性红斑狼疮、过敏性紫癜、结节性多动脉炎和细菌性心内膜炎等。有些为原发性,原因不明。
【病理变化】
病变主要为毛细血管丛呈节段性增生,病变轻者可自行消退,有些病变严重毛细血管袢可发生节段性坏死、破裂、出血,有纤维蛋白沉积,并可引起血栓形成。肾球囊内的红细胞和纤维蛋白可引起新月体形成。病变部分修复愈合,纤维化后形成节段性瘢痕。
【临床病理联系和结局】
局灶性节段性肾小球肾炎最常见的症状为镜下或肉眼血尿,有时可出现蛋白尿,偶然可出现肾病综合征,但一般程度较轻。由于病变为局灶性、节段性,故对肾功能影响较小。多数可自行消退,或修复痊愈。有些病人有复发倾向。少数病变广泛者可发展为弥漫性硬化性肾小球肾炎,引起肾功能不全。继发性局灶性节段性肾小球肾炎的预后与原发疾病有关。
IgA肾病(IgA nephropathy,Berger病)是一种特殊类型的肾小球肾炎,由Berger于1968年首先报告。这种疾病的特点为肾小球系膜增生,用免疫荧光法检查见系膜内有IgA沉积。病人的主要症状为复发性血尿,可同时伴有轻度蛋白尿,少数病人可出现肾病综合征。IgA肾病比较常见,多发生于儿童和青年人,男性多于女性,有些病人在发病前有上呼吸道感染史。
【病理变化】
病变程度差异很大。早期病变轻微,呈局灶性,仅少数肾小球有轻度系膜增宽和节段性增生。有些病变较明显,可有弥漫性系膜增生,偶有少数可发展为新月体性肾小球肾炎。最突出的特点是在系膜区内有IgA沉积,常同时并有C3,IgG和IgM较少。早期的补体成分C1q和C4很少见。电镜观察证实系膜中有电子致密物沉积。
过去认为IgA肾病预后很好,近来经过长期随访观察发现IgA肾病多呈慢性进行性过程。约半数病人病变逐渐发展,可出现慢性肾功能不全。
弥漫性硬化性肾小球肾炎(diffuse sclerosing glomerulonephritis)是各种类型肾小球肾炎发展到晚期的结果。大量肾小球纤维化、硬化,原始的病变类型已不能辨认。病人的主要症状为慢性肾功能衰竭。有些病人过去有肾炎的病史。约25%的病人起病缓慢,无自觉症状,无肾炎病史,发现时已为晚期。
【病理变化】
两侧肾对称性萎缩变小,色苍白,表面呈弥漫性细颗粒状。有时可有散在的小囊肿形成。肾不而质硬,故称颗粒性固缩肾。切面见肾皮质萎缩变薄,纹理模糊不清,皮髓质分界不明显。肾盂周围脂肪组织增多。小动脉壁增厚,变硬,口哆开。
镜下可见大量肾小球纤维化及玻璃样变,有的形成无结构的玻璃样小团(图12-22)。这些肾小球所属的肾小管也萎缩、纤维化、消失。纤维组织收缩,使纤维化、玻璃样变的肾小球相互靠近集中(图12-23)。有些纤维化的肾小球消失于增生的纤维结缔组织中。无法辨别原有的病变类型。存留的肾单位常发生代偿性肥大,肾小球体积增大,肾小管扩张。肾小管上皮细胞呈立方或高柱状,有些肾小管明显扩大呈小囊状,上皮细胞扁平。扩张的肾小管腔内常有各种管型。间质纤维组织明显增生,并有多数淋巴细胞和浆细胞浸润。由于肾组织缺血及高血压,间质内小动脉硬化,管壁增厚,管腔狭小。

图12-22弥漫性硬化性肾小球肾炎
肾小球纤维化,玻璃样变;肾小管也大部分萎缩纤维化;间质纤维组织增生,有多数慢性炎细胞浸润

图12-23弥漫性硬化性肾小球肾炎
大量肾小球纤维化,玻璃样变,相互靠近、集中,残存的肾小球呈代偿性肥大
【临床病理联系】
晚期硬化性肾炎病人常有贫血、持续性高血压和肾功能不全,而尿常规检查往往变化不明显。由于大量肾单位被破坏,功能丧失,存留的肾单位相对比较正常,血浆蛋白漏出不多,因而蛋白尿、血尿、管型尿都不如早期那样明显,水肿也很轻微。大量肾单位丧失后,血流只能通过存留的肾单位,故血流通过肾小球的速度加快,肾小球滤过率和尿液通过肾小管的速度也随之加快。但肾小管的重吸收功能有一定限度,所以大量水分不能再吸收,肾的尿浓缩功能降低,从而出现多尿、夜尿,尿的比重降低,常固定在1.010左右。
晚期,大量肾单位纤维化,肾组织严重缺血,肾素分泌增加,病人往往有明显的高血压。高血压可促使动脉硬化,进一步加重肾缺血,使血压持续在较高水平。长期高血压可引起左心室肥大,严重时甚至可导致心力衰竭。
晚期肾炎时肾单位大量破坏,残留的肾单位逐渐减少,最后造成体内代谢废物不能排出,水电解质代谢和酸碱平衡调节发生障碍。最后可导致氮质血症和肾功能衰竭。
此外,由于肾组织大量破坏,促红细胞生成素生成减少,长期肾功能不全引起的氮质血症和自身中毒抑制骨髓造血功能,故病人常有贫血。
【结局】
有些肾炎病变发展缓慢,病程长短不一,可达数年至数十年之久。早期进行合理治疗控制疾病发展,可取得较好的效果。病变发展到晚期,大量肾单位被破坏,如不采取措施可导致肾功能衰竭和心功能衰竭,故应注意预防和早期治疗。
硬化性肾炎的死亡原因主要为肾功能不全引起的尿毒症。其次为高血压引起的心力衰竭和脑出血,以及机体抵抗力降低而引起的继发感染。