从上皮组织(包括覆盖上皮与腺上皮)发生的肿瘤最为常见,其中恶性上皮组织肿瘤(癌)对人类的危害最大,人体的恶性肿瘤大部分来源于上皮组织。
1.乳头状瘤(papilloma)由覆盖上皮发生,向表面呈外生性生长,形成许多手指样或乳头状突起,并可呈菜花状或绒毛状外观。肿瘤的根部常较狭窄成蒂与正常组织相连。镜下,每一乳头由具有血管的分支状结缔组织间质构成其轴心,其表面覆盖的增生上皮因起源部位不同而异,可为鳞状上皮(图7-9)、柱状上皮或移行上皮。在外耳道、阻茎及膀胱和结肠的乳头状瘤较易发生恶变而形成乳头状癌,值得注意。

图7-9 皮肤乳头状瘤
2.腺瘤(adenoma)是由腺上皮发生的良性肿瘤,多见于甲状腺、卵巢、乳腺、涎腺和肠等处。粘膜腺的腺瘤多呈息肉状(图7-10),腺器官内的腺瘤则多呈结节状,且常有包膜,与周围正常组织分界清楚。腺瘤的腺体与其起源腺体不仅在结构上十分相似,而且常具有一定的分泌功能。不同这外仅在于腺瘤的腺体大小、形态较不规则,排列也比较密集。发生于有小叶和导管结构的器官的腺瘤,其小叶结构往往缺如或不明显,亦无导管形成,故不能将其分泌物排出。

图7-10 肠的息肉状腺瘤模式图
根据腺瘤的组成成分或形态特点,又可将其分为囊腺瘤、纤维腺瘤、多形性腺瘤和息肉状腺瘤等类型。
(1)囊腺瘤(cystadenoma):是由于腺瘤组织中的腺体分泌物淤积,腺腔逐渐扩大并互相融合成囊,肉眼上可见大小不等的囊腔,因而得名。囊腺瘤常发生于卵巢,亦偶见于甲状腺及胰腺。卵巢囊腺瘤主要有两种类型:一种为腺上皮向囊腔内呈乳头状生长,并分泌浆液,故称为浆液性乳头状腺瘤(serous papillary cystadenoma);另一种分泌粘液,常为多房性,囊壁多光滑,少有乳头状增生,称为粘液性囊腺瘤(mucinous cystadenoma) (图7-11)。浆液性乳头状囊腺瘤较易发生恶变,转化为浆液性囊腺癌(serous cystadenocarcinoma)。

图7-11 卵巢粘液性囊腺瘤
肿瘤呈多房性囊状,囊腔内含粘液
(2)纤维腺瘤(fibroadenoma):除腺上皮细胞增生形成腺体外,尚同时伴随大量纤维结缔组织增生,共同构成瘤的实质。本瘤为女性乳腺常见的良性肿瘤。
(3)多形性腺瘤(pleomorphic adenoma)由腺组织、粘液样及软骨样组织等多种成分混合组成。常发生于涎腺,特别常见于腮腺,过去增称之为混合瘤。目前一般认为此瘤是由腮腺闰管上皮和肌上皮发生的一种肿瘤。由于分散的肌上皮细胞之间可出现粘液样基质,并可化生为软骨样组织,从而构成多形性特点。本瘤生长缓慢,但切除后较易复发。
(4)息肉状腺瘤(polypous adenoma) 发生于粘膜,呈息肉状,有蒂与粘膜相连,多见于直肠(图7-10),其中表面呈乳头状或绒毛状者恶变率较高。本瘤亦见于结肠、胃等处,结肠多发性腺瘤性息肉常有家族遗传性,不但癌变率很高,并易早期发生癌变。
由上皮发生的恶性肿瘤称为癌,多见于老年人,是人类最常见的一类恶性肿瘤。癌常以浸润性生长为主,故与周围组织分界不清。发生在皮肤、粘膜表面的癌外观上常呈息肉状、蕈伞状或菜花状,表面常有坏死及溃疡形成;发生在器官内的常为不规则的结节状,呈树根状或蟹足状向周围组织浸润,质地较硬,切面常为灰白色,较干燥。镜下,癌细胞可呈腺状、巢状或条索状排列,与间质分界清楚。亦可在间质内呈弥漫性浸润生长,与间质分界不清。网状纤维染色见癌细胞之间多无网状纤维,而只见于癌巢的周围。癌在早期一般多经淋巴道转移,到晚期才发生血道转移。
癌的常见类型有以下几种:
1.鳞状细胞癌(squamous cell carcinoma)简称鳞癌,常发生在身体原有鳞状上皮覆盖的部位,如皮肤、口腔、唇、子宫颈、阴道、食管、喉、阻茎等处。有些部位如支气管、胆囊、肾盂等处,正常时虽不由鳞状上皮覆盖,但可通过鳞状上皮化生而发生鳞状细胞癌。此癌肉眼上常呈菜花状,也可因癌组织坏死脱落而形成溃疡。癌组织也同时向深层作浸润性生长。镜下,在分化好的鳞状细胞的癌的癌巢中,细胞间还可见到细胞间桥,在癌巢的中央可出现层状的角化物,称为角化珠(keratin pearl)或癌珠(图7-12)。分化较差的鳞状细胞癌无角化珠形成,甚至也无细胞间桥,瘤细胞呈明显的异型性并见较多的核分裂像。

图7-12 鳞状细胞癌
图示典型的癌细胞巢,其中两个癌巢中央形成同心圆状的角化珠
2.基底细胞癌(basal cell carcinoma)多见于老年人面部如眼睑、颊及鼻翼等处,由该处表皮原始上皮芽或基底细胞发生。癌巢主要由浓染的基底细胞样的癌细胞构成,本癌生长缓慢,表面常形成溃疡,并可浸润破坏局部深层组织,但很少发生转移,对放射治疗很敏感,临床上呈低度恶性的经过。
3.移行上皮癌(transitional cell carcinoma)来自膀胱或肾盂等处的移行上皮,常呈乳头状,多发性,可溃破形成溃疡或广泛浸润膀胱壁。镜下,癌细胞似移行上皮,呈多层排列,异型性明显。
4.腺上皮癌 是从腺上皮发生的恶性肿瘤。根据其形态结构和分化程度,可分为分化比较好的、具有腺体结构的腺癌和低分化的、形成实体癌巢的实性癌。腺癌分泌粘液较多的则称粘液癌。
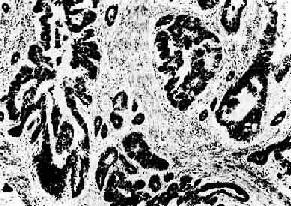
(1)腺癌(adenocarcinoma):较多见于胃肠、胆囊、子宫体等。癌细胞形成大小不等,形状不一、排列不规则的腺样结构,细胞常不规则地排列成多层,核大小不一,核分裂像多见(图7-13)。当腺癌伴有大量乳头状结构时称为乳头状腺癌;腺腔高度扩张呈囊状的腺癌称为囊腺癌;伴乳头性生长的囊腺癌称为乳头状囊腺癌。

图7-13 腺癌(胃)
癌细胞排列紊乱,多层,形成大小不等、形状不规则的腺样结构,浸润于胃壁组织内
(2)粘液癌(mucoid carcinoma):又称为胶样癌(colloid carcinoma),常见于胃肠。镜下,初时粘液聚积在癌细胞内,将核挤向一侧,使该细胞成印戒状, 故一般称之为印戒细胞(signet-ring cell)。以后粘液堆积在腺腔内,并可由于腺体的崩解而形成粘液池。此时,往往可见于小堆或散在的印戒状癌细胞漂浮其中。肉眼观,癌组织呈灰白色,湿润,半透明如胶冻样,胶样癌因而得名。
(3)实性癌(solid carcinoma):或称单纯癌(carcinoma simplex),属低分化的腺癌,恶性程度较高,多发生于乳腺,少数可发生于胃及甲状腺。癌巢为实体性,无腺腔样结构,癌细胞异型性高,核分裂像多见。有的癌巢小而少,间质结缔组织多,质地硬,称为硬癌(scirrhous carcinoma)(图7-14)。有的则癌巢较大较多,间质结缔组织相对较少,质地如脑髓,称为髓样癌(medullary carcinoma)。

图7-14 乳腺硬癌
癌细胞呈条索状排列,间质丰富,由多量纤维组织构成
正确认识癌前疾病癌前病变、非典型性增生及原位癌是防止肿瘤发生发展及早期诊断肿瘤的重要环节。
1.癌前疾病及癌前病变 癌前疾病及癌前病变是指某些统计上具有明显癌变危险的疾病及病变,如不及时治愈即有可能转变为癌。因此,早期发现与及时治愈癌前疾病或癌前病变,对肿瘤的预防具有重要的实际意义。常见的癌前疾病及病变有以下几种:
(1)粘膜白斑:常发生在食管、口腔、子宫颈及外阴等处粘膜。主要病理改变是粘膜的鳞状上皮过度增生和过度角化,并出现一定的异型性。肉眼上呈白色斑块,故称白斑。如长期不愈就有可能转变为鳞状细胞癌。
(2)慢性子宫颈炎伴宫颈糜烂:是妇女常见的疾患。在慢性子宫颈炎的基础上子宫颈阴道部的鳞状上皮被来自子宫颈管内膜的单层柱状上皮所取代,使该处呈粉红色或鲜红色,好象发生了粘膜上皮的缺损,称为子宫颈糜烂。随后,局部又可被再生的鳞状上皮所替代,称为糜烂愈复。如果上述过程反复进行,则少数病例可变为子宫颈鳞状细胞癌。
(3)纤维囊性乳腺病:本病由内分泌失调引起,常见于40岁左右的妇女,主要表现为乳腺小叶导管和腺泡上皮细胞的增生、大汗腺化生及导管囊性扩张,间质纤维组织也有增生。伴有导管内乳头状增生者较易发生癌变。
(4)结肠、直肠的腺瘤性息肉:较为常见,可以单发或多发,均可发生癌变。多发性者常有家族史,更易发生癌变。
(5)慢性萎缩性胃炎及胃溃疡:慢性萎缩性胃炎时,胃粘膜腺体可有肠上皮化生,这种肠上皮化生与胃癌的发生有一定关系,如久治不愈可发生癌变。慢性胃溃疡时溃疡边缘的粘膜因受刺激而不断增生,过去认为有5%可能转变为癌,现在认为其癌变率大约为1%。
(6)慢性溃疡性结肠炎:在溃疡反复和粘膜增生的基础上可发生结肠腺癌。
(7)皮肤慢性溃疡:经久不愈的皮肤溃疡和瘘管,特别是小腿的慢性溃疡,由于长期慢性刺激,表皮鳞状上皮增生,有的可发生癌变。
但须指出,癌的形成往往经历一个漫长的、逐渐演进的过程,平均为15~20年,而且并非所有癌前疾病和病变都必然转变为癌,这还取决于很多因素。再者也并非所有的癌目前都已发现明确的癌前疾病,这方面的研究在肿瘤的预防上具有重要意义。
2.非典型性增生(dysplasia,atypical hyperplasia)主要指上皮细胞导乎常态的增生,表现为增生的细胞大小不一,形态多样,核大而浓染,核浆比例增大,核分裂可增多但多呈正常核分裂像。细胞排列较乱,极向消失。可发生于皮肤或粘膜表面的被覆上皮,也可发生于腺体上皮。根据其异型性程度和(或)累及范围可分为轻、中、重三级。轻度和中度的非典型性增生(只累及上皮下部的1/3~2/3处),在病因消除后可恢复正常。而重度非典型性增生则累及上皮全层并很难逆转,常转变为癌。上述癌前疾病和病变多通过非典型增生而发生癌变的。
3.原位癌 原位癌的一般指粘膜上皮层内或皮肤表皮层内的非典型增生(重度)累及上皮的全层,但尚未侵破基底膜向下浸润生长者。例如子宫颈、食管及皮肤的原位癌。此外,当乳腺小叶腺泡发生癌变而尚未浸润至小叶外者,亦可称为小叶原位癌。原位癌是一种早期癌,因而早期发现和积极治疗,可防止其发展为浸润性癌,从而提高癌瘤的治愈率。