您所在的位置:
首页
>
医学图谱
>
皮肤病图
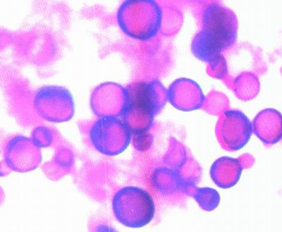
糠秕孢子菌毛囊炎(光镜)
[
http://www.xxmy.com
] 点击数:
【字体:
大
中
小
】
相关:毛囊炎
糠秕孢子菌毛囊炎(光镜)
糠秕孢子菌毛囊炎
组织病理片上,当用PAS染色,可见毛囊内有大量圆形或卵圆形芽孢子,聚集成堆,毛囊上部及其周围有单核细胞聚集,附近真皮内血管周围有炎症细胞浸润。
页面功能 【
参与评论
】【
打印文章
】【
网上投稿
】
【
关闭窗口
】
上一编:
巨大痣细胞痣
下一编:
鳞状细胞癌继发于银屑病
栏目列表