您所在的位置:首页 > 专题栏目 > 乳癌专题 > 文献资料 用户登录 新用户注册
Flt3基因在白血病中的表达及临床意义

Flt3基因在白血病中的表达及临床意义

癌症 2000年第6期第19卷 临床研究

作者:李东 顾庆礼 朱琬莹 姚利 曾皓明

单位:李东 曾皓明(南京江北民医院血液科,江苏南京210048);顾庆礼 朱琬莹 姚利(苏州医学院附属第一医院江苏省血液研究所,江苏苏州215006)

关键词:Flt3基因;白血病;基因表达;逆转录-聚合酶链反应

  【摘要】目的:研究Flt3基因在不同类型、亚型白血病中mRNA表达、分布情况,以期阐明Flt3基因表达与疾病发生、发展的关系,探索Flt3基因作为白血病转归及预后指标的意义。方法:应用血细胞Percoll不连续密度梯度分离法分离出外周血中原始细胞,采用逆转录-聚合酶链反应(RT-PCR),检测Flt3基因在109例恶性血液病患者外周血中表达。结果:初治AML(急性髓细胞性白血病)中Flt3基因mRNA表达为91.4%;ALL(急性淋巴细胞性白血病)中表达率亦较高,为82.3%;在急性白血病的CR(完全缓解)病例中原Flt3阳性表达可转为阴性;而NR(未缓解)的患者则持续为阳性表达。CML(慢性髓细胞性白血病)中阳性表达为33.9%,仅见于急变期及加速期,在慢性阶段则无表达。6例CLL(慢性淋巴细胞性白血病)中的4例、4例MDS(骨髓增生异常综合征)中的2例表达Flt3。结论:Flt3基因有望在白血病诊治过程中成为标志性基因。

  中图分类号:R733 文献标识码:A

  文章编号:10000-467X(2000)06-0589-05

Study on the expression of Flt3 gene in human

  leukemias and its clinical significance

LI Dong

  Department of Hematology,Nanjing Jiangbei People's Hospital, Nanjing 210048, P.R. China

  GU Qing- li, ZHU Wan- ying, et al.

  Jiangsu Institute of Hematology, the First Affiliated Hospital of Suzhou Medical College, Suzhou 215006, P.R. China

  【 Abstract】 Objectives: To investigate the expression of Flt3 gene in leukemia and indicate the relation between the expression of Flt3 gene and the occurrence or the development of the disease. Methods: The separation method of the Percoll discontinuous density gradient was applied to isolate the blast cells in peripheral blood. RT- PCR was used to detect the mRNA expressions of Flt3 in blast cells of peripheral blood from 109 malignant patients. Results: The high level of the Flt3 mRNA in primary AML blasts from 35 patients peripheral blood was 91.4% with no apparent predominance of any of the M1~ M6 subtypes, Flt3 mRNA in ALL also was found at high level in 82.4 % . When the patients were in complete remission(CR), their expression could be changed from positive to negative. But the positive rates was continual if the leukemia cases were non-remission (NR). The positive rate in CML sample was 33.9% which was attained merely to accelerated phase and blast crisis,whereas it was not found in chronic phase. Flt3 mRNA was detected in 4/6 cases of CLL and 2/4 cases of MDS. Conclusion:Flt3 gene will hopefully become a symbolic gene during the course of diagnosis and treatment in leukemias.

  Key words:Flt3 gene; Leukemia; Gene expression; RT-PCR

  Flt3基因是近年发现的早期造血生长因子受体基因,其与KL(干细胞生长因子)的受体C-kit、CSF-1(巨噬细胞集落刺激因子)的受体c-fms同属于第三族酪氨酸激酶基因家族成员,调控早期造血,其中Flt3正常表达时期较后两者更早。已有报道c-kit和c-fms在白血病中有表达[1,2]。有关Flt3在白血病中的表达研究目前国内尚未见类似报道,为检测Flt3基因在中国白血病不同类型、亚型白血病表达、分布情况。本文通过采用血细胞Percoll不连续密度梯度分离法直接分离出外周血中原始细胞,运用RT-PCR检测方法,检测了Flt3mRNA在109例恶性血液病病的外周血中的表达,旨在研究在白血病中Flt3基因的表达、分布与疾病发生、发展的关系;探索Flt3基因作为白血病转归及预后指标的意义,在白血病的诊治中提出一种新的检测和评估方法。

  1 材料和方法

  1.1 临床病例和白血病细胞株

  恶性血液病患者109例,其中AML(M1~M6)35例,ALL17例,CML47例,CLL6例,MDS4例;男58例,女51例;中位年龄37.5岁。并对6例急性白血病病短期随访。对照组的外周血样本23例,包括献血员10例、非恶性血液病病13例[ITP(特发性血小板减少性紫癜)7例、IDA(缺铁性贫血)5例、AA(再生障碍性贫血)1例],以及5株白血病细胞株:原粒白血病细胞株KG-1,早幼粒白血病细胞株NB4,急性髓性白血病细胞株HL-60,慢性粒细胞白血病细胞株K562,淋巴性细胞株U937,以用作阴性及阳性对照。(由苏州医学院附属第一医院、江苏省血液研究所白血病研究室提供)。

  |1.2试剂

  1.2.1细胞分离液Percoll(Pharmacia公司),DextranT-500(Pharmacia公司),SIP(贮存液):9份Percoll加1份1.5mol/LNaCl作为贮存液。60%(V/V)SIP:用pH7.4去Ca2+、Mg2+之Dulbecco缓冲液稀释[SIP∶缓冲液(V/V)=6∶4];50%(V/V)SIP∶用pH7.4去Ca2+、Mg2+之Dulbecco缓冲液稀释[SIP∶缓冲液(V/V)=5∶5];1.5%DextranT-500∶DextranT-5001.5g溶于pH7.4去Ca2+、Mg2+之Dulbecco缓冲液100ml,置冰箱待用。

  1.2.2RNA制备试剂:溶液D(4mol/L异硫氰酸胍,25mol/L柠檬酸钠(pH7.0),十二烷基肌氨酸钠,β-巯基乙醇),醋酸钠,水饱和酚,氯仿,异戊醇,异丙醇,乙醇,DEPC(Gibco-BRL)。

  1.2.3RPMI-1640培养基:按供应商(Gibco-BRL)推荐的方法配制,加入终浓度为10%的新生小牛血清(NCS,上海实生公司),经0.22μm滤膜过滤。

  1.2.4逆转录反应试剂:六随机引物(Sangon)及RNA酶抑制剂(上海华美)AMV逆转录酶(Promega),5×合成第一链缓冲液(Promega),10mmol/LdNTPs(上海生工公司)。

  1.2.5PCR反应试剂:10×PCR缓冲液,25mmol/LMgCl2,TaqDNA聚合酶(Sangon)。

  1.2.6标准分子量:PBR322DNABsuRI(HaeⅢ),MBI公司(Fermentas)。

  1.2.7Flt3、β-actin、abl基因引物由上海生工公司合成。

  Flt3(366bp)

  R5:5’-TGTCGAGCAGTACTCTAAACA-3’(nt1487~1507)

  R6:5’-ATCCTAGTACCTTCCCAAAACTC-3’(nt1831~1852)

  β-actin(210bp)sense:5’-CTTCCTGGGCATGGAGAC-3’

  antisense:5’-CGCTCAGGGAGGAGCAATGAT-3’

  abl(185bp)sense:5’-TTCAGCGGCCAGCATCTGACTT-3’

  antisense:5’-GACCCGGAGCTTTTCACCTTTAGTT-3’

  1.3实验方法

  1.3.1细胞分离:采用血细胞Percoll不连续密度梯度分离法[3,4],分离出外周血中的单核细胞、淋巴细胞、粒细胞。将分得的单核、淋巴和粒细胞用pH7.4去Ca2+、Mg2+之Dulbecco缓冲液洗2~3次,除去残余的Percoll,计数,涂片,分类。

  1.3.2RNA制备:采用异硫氰酸胍一步法提取总RNA[5]。抽提的RNA用DEPC-H2O溶解,实验选用样本为经紫外分光光度计测定其RNA溶液A260/A280>1.8,且经RNA酶消化后在1%琼脂糖凝胶上进行电泳,紫外灯下观察未发现有RNA及其它条带存在。-20℃保存备用。

  1.3.3逆转录反应:标本总RNA2μg,六随机引物100ng,加DEPC处理水至20μl,72℃变性5分钟,另加5×合成第一链缓冲液8μl,10mmol/LdNTP1μl,RNA酶抑制剂RNasin50U,10mmAMV10U,总逆转录体系40μl,37℃反应60min,4℃保存。

  1.3.4PCR反应:(按BoehringerMannheim厂商试剂盒方法稍加修改)反应体系50μl,取cDNA10μl,分别加入40pmol引物R5和R6,及β-actin的sense链和antisense链引物,10×PCRbuffer5μl,MgCl25μl,10mmol/LdNTPs1μl,TaqDNA聚合酶2U。PCR反应时间为:预热94℃5min;随后58℃45s、72℃60s、94℃30s,共35个循环;72℃延伸10min钟;4℃保存。

  1.3.5RNA质量监测:样本采用abl引物扩增[6],若只有一条185bp的条带,表明该模板RNA是完整的。

  1.3.6统计学检验:采用卡方检验,四格表精确概率检验法。

图1 细胞株Flt3基因的表达

  M:Marker,1:HL-60,2:K562,3:U937,4:NB4,5:KG-1

图2 PCR灵敏度检测

  1~10:NB4细胞RNA20~2-9

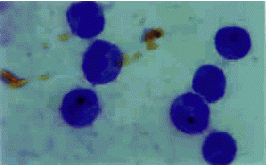
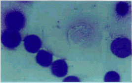
图3 单核细胞性白血病细胞(×1250)

图4 淋巴性白血病细胞(×1250)

图5 粒细胞性白血病细胞(×1250)

  2 结果

  2.1细胞系细胞株的表达情况

  在5种白血病细胞株中,Flt3基因的表达见图1。HL-60、KG-1、NB4表达为阳性,可见一条366pb的产物,及内对照一条210pbβ-actin基因产物,K562、U937两个细胞株为阴性表达。

  2.2PCR灵敏度检测

  Flt3基因经PCR及产物检测灵敏度达2-5,见图2所示。

  2.3正常外周血Flt3基因的表达

  单核细胞、淋巴细胞、粒细胞分离纯度达90%以上,分别提取RNA经RT-PCR扩增检测Flt3表达,结果均未见阳性表达。

  2.4恶性细胞Flt3基因的表达

  恶性细胞经上述方法分离,细胞得率为45%~60%,纯度为90%以上,分别见图3、4、5。提取RNA进行RT-PCR扩增,产物在1%琼脂糖凝胶电泳,观察、记录、摄影。

  2.4.1急性白血病中Flt3的表达:初治52例病例中AML35例(M1~M6)中Flt3表达32例(91.4%),其中M13(3),M24(5),M310(10),M44(4),M510(12),M61(1)。初治ALL17例中Flt3表达14例(82.3%)。Flt3的表达在急性白血病组与正常对照组间差异有显著统计学意义(P<0.01)。短期观察6例经化疗4例CR(1例M3,1例M4,2例ALL)均转为阴性。1例ALL及1例M3病未能CR仍持续Flt3表达。(见图6)

  2.4.2慢性白血病中Flt3的表达:53例病例中Flt3的表达18例(33.9%)。47例CML中在慢性阶段未见Flt3的表达,但于急变期13例中11例(淋巴性3例、髓性6例、混合细胞性2例)有表达;5例加速期中,3例有表达。CLL中6例,有4例阳性。Flt3的表达在慢性白血病组与正常对照组间差异有显著统计学意义(P<0.01)。慢性与急性白血病组间差异亦有显著统计学意义(P<0.01)。(见图7)

  2.4.3MDS中Flt3的表达:4例MDS中有2例表达,阳性率50%。为难治性贫血伴原始细胞增多-转变型(RAEB-T)。(见图8)

表1 恶性血液病外周血中Flt3基因的表达

疾病分类 n Flt3mRNA表达(%)
急性白血病 52 42(88.5)
AMLtotal 35 32(91.4)
M1 3 3(100)
M2 6 4(80)
M3 10 10(100)
M4 4 4(100)
M5 12 10(83.3)
M6 1 1(100)
ALL 17 14(82.3)
慢性白血病 53 18(33.9)
CGL 47 14(29.8)
CLL 6 4(66.6)
MDS 4 2(50)

图6 RT-PCR检测AML中Flt3的表达

  1:HL-60,2:U937,3:空白对照,4~6:阳性表达,7:阴性表达,8~9:M3初治、CR,10~11:ALL初治、CR

图7CML中的Flt3基因的表达

  1:HL-60,2:NB4,3:KG-1,4:U938,

  5~10:CML阳性表达,11~12:阴性表达

图8 MDS中的Flt3基因的表达

  1:NB4,2:HL-60,3:U938,4:KG-1,

  5~6:MDS阳性表达,7~8:MDS阴性表达

  2.5 Flt3基因的突变

  在病例检测中有6例AML出现一条质量比Flt3更大的产物条带(见图6中第5泳道),可能为Flt3基因的突变[7]。将作另文报道。

  实验中的109例恶性血液病外周血中Flt3基因的表达情况见表1,急性白血病呈高表达88.5%(42/52),Flt3基因与急性白血病密切相关。慢性白血病为33.9%(18/53),见于一些特定阶段。我们亦对4例MDS进行了检测,2例RAEB-T阳性表达。

  3 讨论

  成熟血细胞是由自身更新造血干/祖细胞群通过增殖和分化而生成,由能与特异细胞表面受体结合的造血生长因子网所调控。而造血细胞克隆扩增、分化障碍都会导致白血病细胞的增殖,这种分化和死亡程序及对信号分子反应的变化是基因改变的结果,其基因的产物就是一些造血生长因子受体,并在造血细胞膜上表达。在正常骨髓中,Flt3基因在所有CD34细胞中限制性地低水平表达,外周血的血细胞不表达。外周血的检测可排除CD34细胞表达的可能,从而直接显示恶性细胞的表达情况。本试验通过RT-PCR方法检测Flt3mRNA结果显示,在非恶性血液病病外周血中未能检测到产物。正常外周血的单核、淋巴、中性粒细胞Flt3无表达,Brasel等认为Flt3mRNA表达仅限于造血祖细胞,而定向、分化细胞则不表达[8],本文结果与之相符。通过采用血细胞Percoll不连续密度梯度分离法直接分离出外周血中原始细胞进行检测。提高了灵敏度,因而能既方便又能更客观地反映恶性细胞的表达情况。

  在初治的AML中:Flt3基因编码受体Flt3的mRNA在AML外周血的原始细胞中呈高表达,为91.4%,AMLM1~M6中均有表达。在ALL中表达率亦较高为82.3%(见表1),Meierhoff等报道ALL中B-ALL呈高表达为100%,而T-ALL则比例较低[9],本文实验未进行免疫分型的分类故未作定论。1例ALL及1例M3病经多种方案治疗未缓解,复查仍为阳性表达,可能与多药耐药(multidrugresistance,MDR)相关。4例AML(缓解)检测为阴性,亦说明其表达与疾病转归相关。Carow等曾报导指出的在缓解期AMLFlt3表达可能是复发的敏感标志[10]

  在慢性白血病中:CML中为33.9%仅见于急变期及加速期,在慢性阶段则无表达。在CML中仅于淋巴、髓性、混合细胞性变及加速期有表达,Flt3与CML疾病发展相关。CLL中表达较高,因病例不多,尚难说明问题。MDS4例中有2例阳性均为转化期。提示可能与MDS向白血病转变有关[11]

  Flt3异常表达与白血病恶性细胞数量呈正相关,白血病中Flt3表达方式与c-kit及c-fms表达不同,AML和CML髓细胞性急变中c-kit表达高水平,而B-All和T-All无表达;c-fms则仅在一些AML和T-ALL中表达。近年来国外的研究已显示Flt3的促有丝分裂作用及信号传递特征;Flt3分子通过与FL结合而呈二聚体化,并使细胞外酪氨酸残基磷酸化,磷酸化的Flt3通过各种细胞浆相关蛋白传导激活信号,其中包括一个生物化学级联反应。并能提供增殖刺激;原型Flt3蛋白代表主要的效应分子,即Flt3为功能性受体,Flt3与FL相互作用能促进白血病恶性细胞克隆的增殖与维持[12]。因而,Flt3基因是一个与白血病,尤其是急性白血病密切相关的基因。

  MRD(微小残留病灶)是白血病复发的原因,及时检测MRD,尽早清除MRD,才能降低白血病的复发率,达到治愈的目的。MRD占血细胞总数的1/1000~1/10000以下,常规的细胞形态学检查不能检测出来。荧光原位杂交(FISH)灵敏度为1/100,流式细胞术检测MRD尚存在确定阳性阈值的问题。用RT-PCR检测异位后的融合基因如:PML-RARα、AML1-ETO、MLL等作为MRD的标志,敏感度和特异性均很强,但选择标志不易。而Flt3基因在急性白血病有广泛高表达,在慢性白血病中见于一些特定阶段,并与疾病的转归相关,本试验建立的检测Flt3的mRNA的方法,灵敏度为2-5,因此,Flt3基因有望成为白血病的泛基因,在MRD的检测中发挥重要作用。

  [参考文献]

  1,Kanakura Y,Ikeda H, Kitayama H, et al. Expression, function and activation of the proto-oncogene c-kit product in human leukemia cells [J]. Leuk Lymphoma, 1993, 10:35~ 41.

  2,Torres H, Dubreuil P, Falzetti F, et al. c-fms expression in acute leukemias with complex phenotypes [J]. Leukemia,1990,4(10):673~ 677.

  3,张明,顾庆礼.DNA指纹图在急性白血病中的应用[J].中华血液学杂志,1997,18:276~277.

  4,顾庆礼,张箐,张健.血细胞的Percoll不连续密度梯度分离法[J].苏州医学院学报,1991,11:50.

  5,Chomczynski P, Sacchi N. Single-step method of RNA isolation by acid guanidinium thiocyanate-phenol-chloroform extraction [J]. Anal Biochem,1987, 162(1):156~ 159.

  6,Watzinger F,Lion T.Multiplex PCR for quality control of template RNA/cDNA in RT-PCR assays [J]. Leukemia, 1998, 12(12):1984~ 1986.

  7,Yokota S,kiyoi H, Nakao M, et al. Internal tandem duplication of the FLT3 gene is preferentially seen in acute myeloid leukemia and myelodysplastic syndrome among various hematological malignancies. A study on a large series of patients and cell lines [J]. Leukemia, 1997,11: 1605~ 1609.

  8,Brasel K, Escobar S, Anderperg R, et al. Expression of the Flt3 receptor and its ligand on hematopoietic cells [J]. Leukemia,1995, 9(7):1212~ 1218.

  9,Meierhoff G, Dehmel U, Gruss HJ, et al. Expression of FLT3 receptor and FLT3-ligand in human leukemia-lymphoma cell lines [J]. Leukemia, 1995, 9(8):1368~ 1372.

  10,Carow CE, Levenstein M, Kaufmann SH, et al. Expression of the hematopoietic growth factor receptor FLT3 (STK1/FLK2) in human leukemias [J]. Blood,1996,87(3): 1089~ 1096.

  11,Horiike S,Yakota S, Nakao M, et al. Tandem duplications of the FLT3 receptor gene are associated with leukemic transformation of myelodysplasia [J]. Leukemia, 1997, 11: 1442~ 1446.

  12,Drexler HG. Expression of FLT3 receptor and response to FLT3 ligand by leukemic cells [J]. Leukemia,1996,10(4): 588~ 599.

收稿日期:1999-12-06;修回日期:2000-02-25


页面功能 参与评论】【字体: 打印文章关闭窗口
下一编:急性髓细胞白血病早期病死高危因素及高白细胞髓性白血病首次化疗策略探讨
焦点新闻
·小儿中枢神经系统白血病间歇性放射治疗的临床研究(附1
·树突状细胞与髓性白血病的免疫治疗
·急性髓系白血病M2b型分子生物学特征的鉴定
·高三尖杉酯碱的临床药物动力学及其在急性白血病化疗中
·抗凋亡基因bcl-x<sub>L</sub>与白血病细胞耐药的相关
·急性髓细胞白血病早期病死高危因素及高白细胞髓性白血
·反义bcl-2基因转染对单核白血病细胞存活及化疗耐受能
·川芎嗪联合环胞霉素A逆转白血病多药耐药的研究
温馨提示:如果您怀疑自己有某种健康问题,可到健康社区交流咨询或尽快去医院就医治疗。

栏目列表