您所在的位置:首页 > 专题栏目 > 食管癌专题 > 文献资料 用户登录 新用户注册
食管癌术前CT及MRI检查对判断肿瘤外程度的诊断分析

食管癌术前CT及MRI检查对判断肿瘤外程度的诊断分析

  中国医学影像技术2000年第16卷第2期

  潘石宏 袁大森 覃晨斌

  关键词:食管癌 术前 CT MRI 肿瘤外侵程度

  笔者对50例食管癌术前的CT检查(其中6例做了MRI检查),并结合手术及病理所见进行分析。

  1 材料与方法

  术前CT检查50例(其中6例同时做MRI检查)全部经手术及病理证实。男42例,女8例,年龄18~77岁,食管病变部位上段8例、中段37例、下段5例,临床表现进行性吞咽困难,胸骨疼痛等。CT检查用SOMATON CT扫描机,患者仰卧,扫描范围从胸骨切迹至剑突水平。MRI检查用安科永磁型0.15T磁共振扫描系统。体部线圈,层厚8mm,间隔4mm,自旋回波序列T1加权像TR=500ms,TE=30ms,轴位扫描,辅以矢状位及冠状位,均用心电门控。

  CT及MRI判断标准:

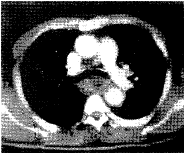
  CT:① 食管与纵隔邻近器官间脂肪层存在与否确定癌肿有无直接浸润(图1),测量食管癌与胸主动脉接触面角度,以确定胸主动脉受累情况,当<45°为阴性,45°~90°为可疑,>90°为阴性;② 测量食管壁最厚部分的管径,<1cm为阴性,1~2cm为可疑,>2cm为阳性。

  MRI:在T1加权像进行判断:① 食管癌与主动脉之间正常脂肪线消失或中断,两者接触角>90°或食管和胸主动脉及脊柱间三角区脂肪消失为受侵(图2);② 气管支气管邻近食管侧的脂肪线消失为受侵。

图1 CT加强扫描,见食管癌浸润左右主支气管后壁。降主动脉前壁,脂肪层消失

图2 T1WT扫描见食管癌与主动脉 之间正常脂肪线消失,食管和胸主动脉及脊柱间三角区脂肪消失(箭头所指)

  2 结果

  以食管与纵隔器官间脂肪层消失为判定食管癌外侵的标准,本组50例CT检查准确率为92%,MRI 6例发现5例主动脉受侵(CT均考虑主动脉受侵),手术证实6例均受侵;MRI显示气管受侵3例(CT均考虑受侵),手术证实2例。

  3 讨论

  食管癌确诊后,判断肿瘤外侵程度是很重要的。过去通常采用食管钡餐造影、X线胸片、食管镜检查等来判断食管肿瘤的外侵程度。近年来随着CT、MRI的应用,提高了判断的准确性。CT具有直接横断成像及高密度分辨率的特点,在确定肿瘤的外侵方面具有一定优越性,从CT角度来讲,Moss认为食管与纵隔器官间脂肪层模糊或消失即提示肿瘤向外扩张,按此标准,本组50例CT检查准确率为92%,与文献报道相近。胸主动脉检查敏感性较高,达77.8%(支气管66.7%),胸主动脉受侵时,MRI表现为其周围脂肪层消失,依据瘤体与主动脉接触角判断,接触角>90°为受侵,45~90°为可疑受侵,<45°为未受侵。因本组MRI例数太少,与CT暂无可比性。由于食管癌病长期进食不足及癌肿慢性消耗,造成纵隔脂肪缺乏,而致食管与纵隔组织分界不清。CT检查仍存在一定假阴性与假阳性。MRI方面,脂肪三角区法不易判断(Takashina等提出脂肪三角区法判断主动脉是否受侵),马林认为宜将脂肪层消失判断肿瘤外侵与脂肪三角区法两种方法结合使用。

  CT、MRI均不能定性食管肿瘤纵隔淋巴结转移,本仍以淋巴结大于10mm为受侵标准。食管旁淋巴结常与肿瘤关系密切,中下段食管癌的淋巴结转移常位于膈下,MRI显示不如CT。

  CT与MRI比较:CT由于其空间分辨率较磁共振成像(MRI)高,增强技术及造影剂使用技术较成熟,加上经济简便,目前仍为判断食管肿瘤外侵首选诊断方法。但CT只能横断面扫描,其它方向的图像重建质量常有衰退,又受纵隔血管搏动影响了清晰度。MRI可以任意选择扫描平面和方位,密度分辨率优于CT,因而能对病变准确定位,整体范围MRI较CT为优。

  作者简介: 潘石宏(1960—),男,1985年毕业于江西医学院医疗系。

  潘石宏(广东省顺德市中西医结合医院,广东 顺德 524333)

  袁大森(广东省顺德市中西医结合医院,广东 顺德 524333)

  覃晨斌(广东省顺德市中西医结合医院,广东 顺德 524333)


页面功能 参与评论】【字体: 打印文章关闭窗口
下一编:70岁以上老年人食管癌的放射治疗
焦点新闻
·急性白血病儿童血脂、蛋白质和氨基酸代谢变化
·MRI有助于乳腺癌疗效监测
·CD<sub>44</sub>v3基因蛋白在恶性卵巢肿瘤中的表达及
·冠状动脉钙化与冠心病危险因素的相关性
·慢传输型便秘结肠肌间神经丛超微结构改变
·便秘的研究现状
·关于提高我国便秘外科工作的一点建议
·匹维溴铵对小鼠功能性腹泻及便秘的治疗作用
温馨提示:如果您怀疑自己有某种健康问题,可到健康社区交流咨询或尽快去医院就医治疗。

栏目列表