您所在的位置:首页 > 专题栏目 > 不孕不育专题 > 文献资料 用户登录 新用户注册
不孕患者子宫内膜孕激素受体研究

不孕患者子宫内膜孕激素受体研究

  中华病理学杂志2000年第29卷第3期

  戴林 沈浣 虞有智 王一丁 左文莉 阚秀

  摘 要 目的 探讨不孕患者黄体中期子宫内膜孕激素受体(PgR)的含量及其与子宫内膜分泌延迟的关系。方法 应用125I放射免疫法及免疫组织化学LSAB法,对53例不孕患者做了黄体中期血孕酮及子宫内膜活体组织检测。以尿黄体生成素(LH)高峰日为标准测定黄体期实际天数,将子宫内膜分泌表现较实际天数延迟2天以上者诊断为黄体功能不全。并根据血孕酮值及子宫内膜活检结果将患者分为3组:正常组、假黄体功能不全组、黄体功能不全组。结果 发现假黄体功能不全及黄体功能不全患者24例,均于黄体中期表现子宫内膜分泌延迟。假黄体功能不全9例中血孕酮值正常平均为60.2 nmol/L,其子宫内膜PgR含量为144.2,较正常组明显低下(P<0.01)。黄体功能不全15例血孕酮值较正常组明显低下(P<0.01),平均为29.9 nmol/L,但其子宫内膜PgR含量与正常组比较差异无显著性(P>0.05)。结论 子宫内膜分泌延迟是由两种不同原因引起,通过黄体中期子宫内膜PgR含量的检测对查找其原因有帮助。

  关键词:子宫内膜;不育症,女性;受体,孕酮;黄体期

  临床不孕的原因很多,由子宫内膜分泌延迟导致的不孕只是其中的一种。内膜分泌延迟长期以来被认为是由卵巢所产生的激素不足引起,因此称为黄体功能不全(luteal phase defect,LPD)[1]。但近年来有发现在内膜分泌延迟者中,有些患者卵巢所分泌的激素量是正常的,故将其命名为假黄体功能不全(pseudocorpus luteum insufficiency,PLI )[2],这种分泌延迟是由子宫内膜对卵巢所分泌的激素反应不良所致。众所周知卵巢所分泌的激素是通过内膜相应受体而起作用,因此内膜分泌状况不仅受黄体激素水平影响,还与子宫内膜孕激素受体(progesterone receptors PgR)含量有关。但以往文献对于内膜分泌延迟者内膜PgR状况报道不一[3-5]。我们通过53例不孕患者黄体中期子宫内膜PgR的研究,探讨其与子宫内膜分泌延迟的关系。

  材料及方法

  1.临床资料:53例不孕患者于1997~1998年间在北京医科大学附属民医院及北大医院计划生育门诊就医,患者不孕达2年以上,月经周期正常(28~35天),年龄27~39岁,平均32岁。3个月内没用过激素治疗。临床检查排除了由男性、输卵管、子宫内膜异位等原因引起的不孕。对以上患者进行了月经周期中尿黄体生成素峰(luteinizing hormone LH)测定、黄体中期血孕酮测定、黄体中期子宫内膜活体检查及子宫内膜 pgR免疫组织化学染色。

  2.尿LH峰测定:本组以天德普公司提供的DPC药盒的尿试纸测定LH高峰以确定排卵日期。患者于预计排卵前3d开始,每日1次用尿试纸对晨尿进行检测,以试纸上出现2条明显的横线为LH高峰日即排卵日,将这一天定为黄体期起始日,即为LH-0 d。

  3.子宫内膜活体检查:方法同文献[6]。我们以尿LH高峰日为标准确定黄体期的实际天数,以子宫内膜分泌表现较实际天数延迟2 d以上者诊断为黄体功能不全。

  4.血孕酮测定:患者于LH+7 d抽取静脉血,在北京医科大学附属民医院放射免疫实验室采用125I放射免疫方法进行检测,正常值为血孕酮≥47.7 nmol/L。

  5.孕激素受体(PgR)检查:使用北京市肿瘤研究所孙素莲教授提供的鼠抗孕激素受体单克隆抗体(MAPR-S2)工作液做一抗,采用LSAB免疫组织化学方法对53例不孕患者的子宫底部内膜石蜡切片进行染色。以美国Zymde公司PgR单抗筛选的乳癌PgR表达阳性标本做阳性对照,用同样切片不加一抗做阴性对照。PgR阳性主要表现为子宫内膜腺体及间质细胞核的表达。我们使用H-score=Σpi(i+1)[7]组织学评分公式将每张切片内PgR阳性的细胞数量及其染色强度转化为相应的数值,达到对子宫内膜PgR染色的半定量目的。式中pi表示PgR阳性细胞数量占切片中所有细胞数量的百分数;i代表PgR着色强度:阴性为0细胞核基本不着色,弱阳性为1细胞核轻度黄染,阳性为2细胞核中度黄褐色,强阳性为3细胞核明显黄褐色。我们以H-score积分<75分为阴性;75~250分为阳性;250~400分为强阳性。组织学积分最高为400。

  6.统计学方法:t检验方法。

  结果

  53例患者均有LH高峰出现,说明都有正常排卵。根据53例不孕患者黄体中期子宫内膜活检及血孕酮检查结果分为3组。正常组:子宫内膜分泌表现正常,共29例占54.7%。假黄体功能不全组:子宫内膜分泌延迟大于2 d,血孕酮检查值≥47.7 nmol/L,共9例占17%。黄体功能不全组:子宫内膜分泌延迟大于2 d,血孕酮检测值<47.7 nmol/L,共15例占28.3%。

  正常组:在53例患者中29例黄体中期子宫内膜分泌表现正常。其血孕酮平均值正常,但也有5例患者血孕酮值低于正常,主要是与日激素水平波动较大有关。正常组子宫内膜PgR染色及测定,见图1,表1。

  假黄体功能不全组:9例PLI患者的黄体中期血孕酮平均值与正常组比较,差异无显著性(P>0.05)。但其黄体中期子宫内膜平均PgR含量明显低于正常组(P<0.01),见图2,表1。

  黄体功能不全组:LPD患者15例其黄体中期平均血孕酮值明显低于正常组,并与正常组比较差异有显著性(P<0.01)。而黄体中期子宫内膜平均PgR量与正常组差异无显著性(P>0.05),见图3,表1。

  本次实验53例子宫内膜PgR染色阴性4例,阳性31例,强阳性18例。

表1 53例不孕患者黄体中期血孕酮、子宫内膜孕激素受体测定结果

组别 例数 X±sX
血孕酮(nmol/L) 孕激素受体

  H-score(分)

正常组 29 48.24±3.34 (20.67~104.94) 226.67±20.37

  (75~400)

黄体功能不全 15 29.92±1.91*

  (20.67~47.38)

201.65±33.24

  (37.5~400)

假黄体功能不全 9 60.23±2.15

  (52.47~73.14)

144.18±24.40*

  (75~250)

  *与正常组比较P<0.01讨论

  子宫内膜做为卵巢激素作用的靶器官在诊断卵巢黄体功能上具有重要价值。我们采用Johannisson等[8]提出的对子宫内膜形态的半定量诊断方法,对黄体中期子宫内膜形态进行按日诊断。使用尿LH峰检测方法确定排卵日期。我们认为采用这些方法所做出的诊断更接近患者实际情况。

  正常月经周期中,孕激素受体的变化规律是,受体在滤泡晚期达高峰,黄体期开始下降,到黄体晚期达最低点。我们认为在黄体中期取材,不仅对诊断内膜分泌状况有利[6,9],对内膜受体检测也有重要意义。而我们本次实验采用的子宫内膜组织PgR免疫组织化学方法染色,较以往生化方法更直观准确。

  子宫内膜所产生的PgR量与卵巢所产生的激素有明确的关系。因此,们想到LPD患者可能由于卵巢分泌的激素水平低下致使子宫内膜产生PgR量随之改变,从而导致子宫内膜分泌延迟引起不孕。而我们采用黄体中期子宫内膜孕激素受体免疫组织化学染色观察的结果显示,黄体功能不全组与正常组在黄体中期子宫内膜PgR含量的比较差异无显著性意义。文献中有作者采取LPD患者与正常妇女黄体期子宫内膜对其孕激素受体进行比较,得出相似的结果[3]。 jacobs等[4]在将LPD患者的增生期及黄体期子宫内膜PgR与正常增生期及黄体期子宫内膜PgR进行比较后发现,LPD患者子宫内膜PgR只是在增生期较正常低而在黄体期则无差异。Saracoglu等[5]对LPD患者与正常黄体中期同天的子宫内膜PgR研究后指出,前者的PgR甚至高于正常组。由此可以说明,LPD患者的子宫内膜PgR水平在黄体期并未低于正常。其子宫内膜分泌延迟的出现与黄体期内膜PgR含量无关,而是卵巢所产生的孕激素低下使形成的激素受体复合物不足,最终导致了内膜分泌延迟。有用孕激素治疗这类患者后发现其内膜分泌延迟被纠正[10]。所以用黄体期子宫内膜PgR低下解释黄体功能不全患者的子宫内膜分泌延迟根据不足。在我们这组观察中还发现,虽然各组子宫内膜均取于黄体中期,但内膜PgR变化范围却较大,这可能与内膜取材的部位有关。PgR的含量由宫底至宫颈依次减少[4]

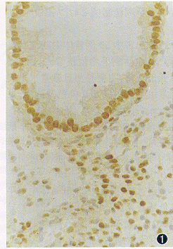
图1 正常组黄体中期子宫内膜,内膜分泌正常(LH+6~7 d)。腺体及间质细胞核PgR免疫组织化学强阳性 LSAB法×400

图2 假黄体功能不全患者黄体中期子宫内膜分泌延迟,可见许多核下空泡,腺体轻扩张(LH+3~4 d)。内膜腺体及间质细胞核PgR免疫组织化学弱阳性 LSAB法×200

图3 黄体功能不全患者,内膜分泌延迟,可见多数核下空泡,腺体无扩张(LH+2~3 d)。内膜腺体及间质细胞核PgR免疫组织化学强阳性 LSAB法×400

  假黄体功能不全是继黄体功能不全之后提出的新名词,其表现为基础体温及血激素水平正常,但内膜分泌延迟[2]。我们对这类患者的黄体中期子宫内膜PgR检测显示,其子宫内膜PgR含量明显低于正常组。Keller等[2]报道的1例假黄体功能不全患者内膜PgR含量是正常者PgR含量的一半。动物实验模型及子宫内膜研究已经显示,孕激素通过与胞质中PgR结合转运到细胞核,使之DNA、mRNA发生变化,蛋白质合成增加,最终引起内膜一系列分泌形态变化。因此这些患者出现的内膜PgR低下必然导致子宫内膜分泌延迟而不孕。所以我们认为对基础体温及血孕激素检查正常而内膜分泌延迟的患者,检测子宫内膜PgR对查找不孕原因是有帮助的。

  总之,黄体功能不全与假黄体功能不全,虽然都表现有内膜分泌延迟,但其引发的原因是不一样的。血孕酮检查及子宫内膜PgR检测不仅对二者鉴别有一定帮助,并可能为不同患者采用相应的治疗提供参考。还需指出的是卵巢黄体激素及内膜孕激素受体与内膜形态变化有明确的关系,但是,仅用内膜分泌延迟来评价卵巢黄体功能及子宫内膜激素受体水平是不客观的。

  作者单位:戴林(100044北京医科大学附属民医院病理科)

  沈浣(100044 北京医科大学附属民医院妇产科)

  参考文献

  1 Jones GES. Some newer aspects of the management of infertility.JAMA,1949, 141:1123.

  2 Keller DW, Wiest WG, Askin FB, et al. Pseudocorpus luteum insufficiency: a local defect of progesterone action on endometrial stroma. J Clin Endocrinol metab, 1979,48:127-132.

  3 Mcrae MA, Blasco L, Lyttle CR. Serum hormones and their receptor in women with normal and inadequate corpus luteum function . Fertil Steril,1984,42:58-63.

  4 Jacobs MH ,Balasch J ,Gonzalez-Merlo JM ,et al. endometrial cytosolic and nuclear progesterone receptors in the luteal phase defect .J Clin Endocrinol metab,1987, 64:472- 475.

  5 Saracoglu OF, Aksel S , Yeoman RR,et al . Endometrial estradiol and progesterone receptors in patients with luteal phase defects and endometrosis. fertil Steril,1985, 43:851-855.

  6 戴林,王一丁,沈浣,等.黄体中期子宫内膜活检在诊断黄体功能中的意义.中华病理学杂志,1999,28:344-346.

  7 Budwit-Novotny DA, McCarty KS,Cox EB,et al. Immunohistochemical analyses of estrogen receptor in endometril adenocarcinoma using a monoclonal antibody. cancer Res, 1986,46:5419-5425.

  8 Johannisson E, Landgren BM, Rohr HP,et al.Endometrial mophology and peripheral hormone levels in woman with regular menstrual cycle. Fertil Steril,1987, 48:401-408.

  9 Li TC,Lenton EA,Dockery P,et al. The relation between daily salivary progesterone profile and endometrial development in luteal phase of fertile and infertile woman . Br J Obstet Gynaecol, 1989 , 96:445-453.

  10 Balasch J, Vanrell JA, Marquez M ,et al. Dehydrogesterone versus vaginal progesterone in the treatment of the endometrial luteal phase defect. Fertil steril ,1982, 37:751-754.


页面功能 参与评论】【字体: 打印文章关闭窗口
下一编:子宫内膜异位症不孕患者腹腔液IL-2活性及外周血T细胞亚群变化
焦点新闻
·急性淋巴细胞性白血病卵巢复发一例
·白血病抑制因子对体外培养小鼠早期胚胎发育的影响
·白血病抑制因子在早孕蜕膜组织中的表达
·急性淋巴细胞白血病患儿血清sTNFRs水平测定的临床价值
·急性淋巴细胞白血病患者可溶性白细胞介素-2受体与免疫
·急性白血病患者血浆可溶性Fas受体的水平及其意义
·急性髓性白血病细胞CD87表达及其意义
·红细胞生成素受体介导的白血病细胞系增殖信号传导的研
温馨提示:如果您怀疑自己有某种健康问题,可到健康社区交流咨询或尽快去医院就医治疗。

栏目列表